Get all your news in one place.
100’s of premium titles.
One app.
Start reading
Bored Panda
Bored Panda
Entertainment
Mantas Kačerauskas

“The Eyes After Death”: 56 Of The Most Bizarrely Fascinating Photos Shared By Medical Professionals (New Pics)

Have you ever seen a close-up of someone's eyes after death? How about the aftermath of a C-section that a woman performed on herself? These might sound like scenes from a medical drama, but they're not.

Below, you'll find receipts of true medical cases and procedures shared by those who work in the industry. These photographs aren’t your average flu cases or sprained ankles. They're the eye-opening jaw-droppers, and the “wow” moments that left even some doctors, nurses and students stunned.

There's an online community made up of medical professionals from around the globe, and some curious onlookers. The page is called r/MEDizzy and has more than 372,000 members, all there to ​​discuss amazing medical cases, watch useful medical videos and share inspiring pictures.

Bored Panda has put together a list of the best - and most bizarre - posts from the community. Some are gory, others are fascinating, a few are simply factual. All prove that the human body truly is an incredible sight to behold. We also explain why so many people love watching medical dramas. You'll find that info between the pics.

#1 Before And After Orthognathic Surgery

Image credits: Traumaprof

It takes a special kind of person to enter the medical field. You hold someone's life in your hands. The responsibility is real. But besides having the brains, you need to have the guts and stomach to handle anything that an unpredictable day or night may throw at you. Many of us can watch medical dramas unfold from the comfort of our couch. But as for being part of the real deal? No thank you, I'll pass.

Medicine has always been a mix of science, mystery, and—on occasion—the pure shocking or bizarre. Think surgeons discovering household objects lodged in places they definitely shouldn’t be, patients exhibiting symptoms that baffle even the most seasoned professionals, or rare cases of people performing surgery on themselves and then visiting a doctor or hospital after the fact.

#2 Before And After Surgery For Blount's Disease

Image credits: GiorgioMD

While many of us ordinary people wouldn't dream of becoming doctors or surgeons, that hasn't stopped us from getting sucked into scrolling through pics like these, watching a gripping medical drama series, or even a tense and gory documentary.

Shows like Grey's Anatomy, E.R. and House M.D. have proven for years that the public just can't get enough of what happens behind the closed doors of a busy, chaotic hospital. Even if we want to look away sometimes.

And there's apparently a scientific explanation for that...

#3 Before And After Of An Extensive Maxillofacial Surgery

Image credits: GiorgioMD

According to experts, what happens to your brain when you watch graphic medical footage is similar to the kind of reaction you might have if you were to witness it firsthand. Watching emergency room shows activates the sympathetic nervous system, says neuropsychologist Dr. Marian Rissenberg.

"The fight or flight response is triggered, which increases heart rate and blood pressure and redirects blood from our major organs to our limbs, so we can battle or run, and so on," the doctor told Bustle. "We like the feeling of being scared, on a smaller scale or a virtual plane, when we are confident we will be okay."

#4 This Woman Performed A C-Section On Herself After Struggling During Labor And Not Having Access To Immediate Medical Care. Both She And The Baby Lived!

Image credits: Adeisha

#5 Dr. Virginia Apgar. The Inventor Of Newborn's 'Apgar Score' That Is Saving Millions Of Babies Everyday

Image credits: mriTecha

But why can surgeons handle the drama in real life while those outside of the field would flee? It's got to do with how your brain adapts to seeing things. Doctors program their brains to see injuries as a problems that need to be fixed, rather than stimuli to have an emotional response over, says Rissenberg.

"When a motor response is practiced many times, the cerebellum makes a macro for it (a mini short-cut program) so even if it's very complex, you can do it without your cortex — without thinking."

#6 Amazing Smile Makeover

Image credits: GiorgioMD

But as we mentioned earlier, some people are just automatically hardwired to be able to deal with blood and gore, while others aren't. "Some people thrive on the adrenaline rush of working in the ER say, but many of us would find it too stressful," explains the expert. "We all have a different optimal stress level, too much and we’re anxious, not enough and we’re bored."

#7 The Difference After Jaw Surgery And Rhinoplasty Made On This Woman

Image credits: mriTecha

#8 Perfectly Lined Up Sternotomy Sealing, The Surgeon Is Amazing

Image credits: reddit.com

#9 13 Vertebral Bodies Taken From An Organ Donor To Be Used For Bone Marrow

anda_ammonium:

We are just meat.

Image credits: mriTecha

While many of us won't hold a scalpel and use it, we will actively seek out footage or photos that show someone else doing so. Basically, we get a thrill out of activating our fight-or-flight response.

"We have a morbid fascination with nature," Rissenberg says. "Particularly our own amazing bodies, and all the things that can go wrong, but that are thankfully not going wrong for us in the moment."

#10 Lightning Strike Causes Patterned Charring Along The Contact Points Of A Metallic Locket!

Image credits: Traumaprof

#11 Patient Got Bit By A Stray Dog, And This Is His Rabies Vaccine And Immune Globulin Set Up

Image credits: LittleLoobyLulu

#12 Blood From 5 Y/O With Nephrotic Syndrome

Image credits: braced

The medical shows also satisfy our curiosity, says Chicago-based emergency medicine physician Dr. Sonia Shah. We get a peek inside a world we would not ordinarily be invited to see. "I imagine that on some subconscious level, we cannot help but be intrigued at seeing something so socially unacceptable and morbid," says Shah.

#13 Well Done Nose Prosthetic

Image credits: Surgeox

#14 This 3D CT Scan Shows Multiple Fractures As The Result Of A Motorcycle Accident At High Speed

Image credits: Emergentelman

#15 Chainsaw Accident On X-Ray

Image credits: Unusualway

Sometimes we watch medical dramas to help us feel better about our own conditions. "When you are a patient being treated and see their condition get better and worse, it intrigues us," writes high school student Echo Brooke.

"You typically get sent through a range of emotions like fear and relief. This tends to activate our fight-or-flight response. This can give you a boost of energy and release dopamine, making you feel happier," she adds.

#16 Osteosarcoma

Osteosarcoma is a malignant tumors which begins in the bone forming cells. It typically occurs in young patients with 75% taking place before the age of 20 as the growth centers of the bone are more active during puberty.⁠

Image credits: GiorgioMD

#17 Heavy Calculus Removal

Image credits: Emergentelman

#18 The Eyes After Death

After death, there is are no pupillary reflexes to light. The cornea of the deceased becomes cloudy after two hours of death. Besides that, the pressure in the eyes start to decrease and the eyeballs become flaccid before it they sink into the orbits of the eyes.

Image credits: GiorgioMD

Of course, many people are purely fascinated by the inner workings of the human body. And we get to learn through shows like Grey's, or listicles like the ones featured on Bored Panda.

"Being healthy and knowing if something is wrong is important for most, so watching these shows can have an appeal to them," writes Brooke. "It makes us feel like we know more about our bodies and can give us almost a sense of control."

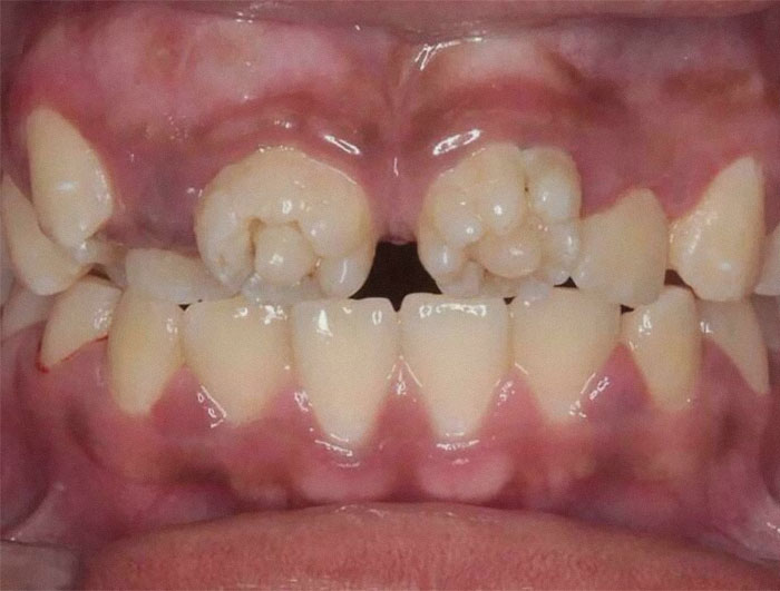
#19 These Are Mulberry Molars, Which Are Associated With Congenital Syphilis

Image credits: mriTecha

#20 CT Scan Of A 13 Year Old From Gaza

Image credits: AssadShal

#21 Thumb Pinched In Ski Binding!

Image credits: Jjmedicx

#22 Patient Came In For Tooth Pain (Does Not Have Teeth)

55yo female came in for emergency dental visit. After ruling out any dental related issue, the doctor expressed concerns about the (softball size) mass on the right side of her face.

Impaired vision in right eye, obstructed nasal airway, impaired speech and ability to eat.

Patient claims the mass formed only 2 months ago but showed an image of it a bit smaller dated last year. Says when it bothers her she gets antibiotic/steroid and it goes down a little.

Immediate referral to ENT.

Image credits: coolbrothanksbro

#23 Bungee Cord To The Eye Caused Man's Iris To Collapse Into Multiple Deformed Pupils

Image credits: GiorgioMD

#24 Gouty Arthritis

Image credits: Emergentelman

#25 A Man In Peru Experienced An Unusual Swelling, Resembling A Balloon, Following A Fishing Accident

After a deep-sea diving expedition for shellfish, he had to quickly resurface due to the propeller of a large commercial vessel severing his compressed air supply.

Image credits: HealerMD

#26 A 66-Year-Old Man “Accidentally” Fell On A Matryoshka Doll This Last Christmas Eve Night In Rome

Image credits: HealerMD

#27 Giant Scalp Arteriovenous Malformation

Scalp arteriovenous malformation (AVM) is a rare congenital disorder. It is an abnormal connection between a feeding artery and draining veins. Patients are usually diagnosed during late childhood to early adulthood.

Image credits: Emergentelman

#28 Nerve That Was Extracted During My Root Canal This Morning

Image credits: namma135

#29 The Patient Was Trying To Get A Pencil Out Of Her Purse Then She Tripped On A Sidewalk Resulting In This Photo

Image credits: GiorgioMD

#30 Just Got Out Of My Latest Surgery. Hoping I Can Now Breathe Without Tubes. Also, Chin Evened Out Using Fat From My Stomach

Image credits: HeyKillerBootsMan

#31 Laser Tattoo Removal Gone Wrong!

Image credits: mriTecha

#32 Penetrating Branch Root Injury In A Motorcycle Enduro Rider!

During an off-road motorcycle enduro race, the individual faced a difficult part of the track covered in dense plants and branches hanging overhead.

Image credits: mriTecha

#33 PE Removal With New Procedure. Here’s What They Sucked Out Of My Lungs Via My Groin Last Week

Image credits: Travis9283

#34 Knee Aspiration Following Acute Gout Flareup

Patient presented to clinic approximately 3 days into a flareup of gout. 55 ccs of fluid were pulled off and uric acid crystals could be seen in the aspirate. For context, synovial fluid is normally transparent and yellow.

Image credits: MrMurse

#35 Organic Solvent Chemical Burns

Image credits: Traumaprof

#36 Spontaneous Hyphema

Image credits: GiorgioMD

#37 The Human Body Stripped Of Fat, Muscle And Bone Tissue, With Just The Vasculature Preserved And Exposed In A Process Of Plastination!!

Image credits: DrChriss1

#38 Severe Frostbite In Extreme Altitude Climber (Mt. Everest)

Image credits: DrChriss1

#39 My Xl Wrist Vein

Image credits: plaidjammies

#40 Blue Blood. An Incredibly Rare Condition Known As Acquired Methemoglobinemia

Image credits: GiorgioMD

#41 Thigh Slices From A Morbidly Obese Person And A Slightly Obese Person

Image credits: anon

#42 A Chest X-Ray In 1914

Image credits: Medicus1011

#43 Wrinkly, Brittle Nails

Image credits: erinc2005

#44 Extremely Pruned Fingers After Picking Mangos Without Gloves

Image credits: HealerMD

#45 Wife Said My Feet “Barely Look Human”

Image credits: strikecat18

#46 My Broken Femur And The Repair

Image credits: LimpyDan

#47 Nail Biting All My Life

Image credits: Guilty_Chair9370

#48 Tight Situation! Boa Constrictor In The Emergency Room

Image credits: Surgeox

#49 Docs Couldn’t Find A Single Vein In My Arms For IV, So They Struck My Jugular

Image credits: Deepikapaul67

#50 Best Friend’s Dad’s Arm After Boxing Injury

Image credits: hellgirllll

#51 An MRI View You Won’t See Every Day

Image credits: atgctgttt

#52 A 26-Year-Old Female Presented To The Emergency Department After Accidentally Swallowing A Toothbrush, Which She Had Inserted Into Her Mouth To Induce Vomiting

She reports a 6-month history of bulimia nervosa. The toothbrush was successfully retrieved via upper gastrointestinal endoscopy.

Image credits: GiorgioMD

#53 Onychogryphosis Is A Nail Disorder That Affects The Growth Of The Nail Plate

The nail undergoes thickening, elongation and increased curvature and has an unusual yellow-brown, opaque appearance resembling a ram's horn.

Image credits: GiorgioMD

#54 Nails Coming Off After Hfmd

Image credits: FrutaPadre

#55 Attempted S**cide With A Small Crossbow. Patient Survived But Lost An Eye. The Arrow Apparently Didn't Penetrate The Posterior Orbital Wall Thus Not Reaching The Brain

Image credits: HealerMD

#56 Petechiae Due To Low Platelets In 28 Y/O Leukemia Patient

Image credits: olivejew0322

Sign up to read this article
Read news from 100’s of titles, curated specifically for you.
Already a member? Sign in here
Related Stories
Top stories on inkl right now
One subscription that gives you access to news from hundreds of sites
Already a member? Sign in here
Our Picks
Fourteen days free
Download the app
One app. One membership.
100+ trusted global sources.