
Do your gums look red and often bleed when you brush them, but they’re not painful? If so, you could have the gum disease gingivitis.
Gingivitis is one of the most common inflammatory oral diseases. It affects an estimated 50–100% of adults and children at some point in their lives.
Luckily, gingivitis can be treated if caught in time. However, if left untreated, it can lead to more severe disease that could mean losing your teeth.
Here are some tell-tale signs of gingivitis and how you can work with a dental professional to treat it.
What does gingivitis look like?
The term gingivitis tells us what to expect. It’s when the gums (the gingiva) are inflamed (-itis). It’s essentially the body’s immune response to microbes in the sticky biofilm or plaque on the tooth surface.
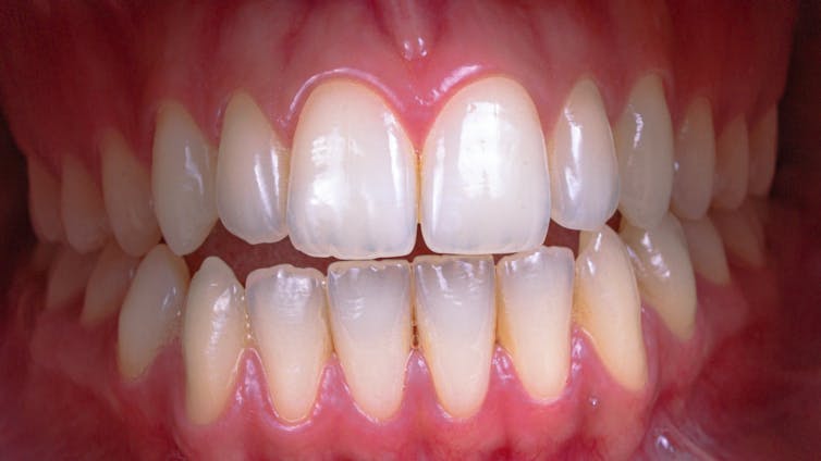
You might notice subtle redness of the gums, close to where they meet the teeth, or of the part of the gums between the teeth. You might notice mild-to-moderate swelling of the gums. Or your gums might bleed when you brush or floss.
It can affect the gums close to a few or multiple teeth. Sometimes, it can lead to bad breath (halitosis).
Gingivitis generally develops over time. And you’ll see the most common form starting to develop if you haven’t brushed your teeth well (and have not removed the plaque) for a few days. Gingivitis is painless to start with.
But if it’s not treated it may lead to a more severe form of disease called periodontitis. This is when you also lose some of the bone that holds teeth in place. If periodontitis is left untreated, your teeth loosen and may fall out.

How did I get it?
Several factors increase the chances and severity of gingivitis, beyond poor oral hygiene.
For instance, changes in sex hormones during puberty, the menstrual cycle, pregnancy and oral contraceptive use can increase the severity of gingivitis. This is due to increased blood flow or a change in plaque’s microbial composition.
Other conditions that can worsen gingivitis include diabetes, leukaemia, if you don’t produce much saliva, and certain medications.
An infectious disease could also be behind gingivitis. Bacterial infections (such as streptococcal disease, syphilis and tuberculosis); viral infections (herpes, human papillomavirus, hand-foot-and-mouth disease); and fungal infections (candida thrush) can all involve gingivitis. But unlike the more common type, gingivitis related to infectious disease can also come with fever and enlarged lymph nodes.
A new growth – whether benign (non-cancerous), precancerous (could develop into cancer) or cancer – can present as localised lesions with inflamed gums.
Finally, gingivitis can be traumatic. That is, if you brush your teeth too hard, use cocaine or other drugs, or burn your mouth while eating or drinking hot food and drink, you might see acute inflammation of the gums.
Can I manage it at home?
Only to a limited extent. If you get in at the early stage (one to three days of symptoms), brushing your teeth well will help remove plaque, and so some of the microbes that cause the inflammation.
But if you leave it any longer and the plaque begins to calcify, a dentist or a dental hygienist will need to remove these hardened, rough, surface deposits known as calculus.
They use tools called ultrasonic scalers or manual scalers to remove the calculus and overlying plaque. After this treatment, signs of gingivitis usually resolve.
However, if there are underlying health issues that contribute to gingivitis, they will need to be addressed to see any improvement.
For instance, this could be treating an infection before, during or after scaling. You might also be prescribed a special mouthwash to help healing or relieve symptoms.
If you have a growth, or are diagnosed with periodontitis, you’ll be referred for specialist treatment.
Can mouthwash help?
Mouthwash often helps reduce the bacterial load in plaque. But you can’t rely on it as your only treatment. It is, however, often recommended after your gingivitis has been treated professionally, during the healing phase.
Your dental health professional may recommend chlorhexidine mouthwash twice daily for up to two weeks. You can buy this in the supermarket or pharmacy.
But using mouthwash long term to manage gingivitis (or for other reasons) is not advised. Prolonged use of chlorhexidine mouthwash can lead to side effects such as staining of the teeth and an altered sense of taste.
Some mouthwash also contains a small percentage of alcohol, which might not be the best option for people with a dry mouth as alcohol can be dehydrating. You might also want to avoid these in children, who might not like the burning sensation. There are alcohol-free versions, which are just as effective.
How do I prevent gingivitis returning?
You can prevent gingivitis, and most oral diseases, by brushing your teeth well twice a day and flossing once a day.
Regular dental check-ups also give dental professionals a perfect opportunity to detect and manage most gingivitis (and tooth decay) before it progresses.

Dileep Sharma receives funding from the Dental Council of NSW, International Association for Dental, Oral, and Craniofacial Research, Australian government Department of Foreign Affairs and Trade, International College of Dentists and Tropical Australian Academic Health Centre for his dental research projects. He is affiliated with The International Association for Dental, Oral, and Craniofacial Research and Australian Dental Association.
This article was originally published on The Conversation. Read the original article.