
Traumatic brain injury is a leading cause of death and disability in the world. Blunt force trauma to the brain, often from a bad fall or traffic accident, accounts for the deaths of over 61,000 Americans each year. Over 80,000 will develop some long-term disability.
While much of the physical brain damage occurs instantly – called the primary stage of injury – additional brain damage can result from the destructive chemical processes that arise in the body minutes to days to weeks following initial impact. Unlike the primary stage of injury, this secondary stage could potentially be prevented by targeting the molecules driving damage.
I am a materials science engineer, and my colleagues and I are working to design treatments to neutralize the harm of secondary traumatic brain injury and reduce neurodegeneration. We designed a new material that could target and neutralize brain-damaging molecules in mice, improving their cognitive recovery and offering a potential new treatment for people.
Biochemical fallout
The primary stage of traumatic brain injury can severely damage and even destroy the blood-brain barrier – an interface protecting the brain by limiting what can enter it.
Disruption of this barrier triggers damaged neurons or the immune system to release certain chemicals that result in destructive biochemical processes. One process called excitotoxicity occurs when too many calcium ions are allowed into neurons, activating enzymes that fragment DNA and damage cells, causing death. Another process, neuroinflammation, results from the activation of cells called microglia that can trigger inflammation in damaged areas of the brain.
These secondary phase processes also produce harmful molecules called reactive oxygen species. These molecules, which include free radicals, chemically modify and deform essential proteins in cells, rendering them useless. They can also break DNA strands, leading to potentially damaging genetic mutations.
If left unchecked, harm from this oxidative stress can have devastating consequences for long-term health and neurocognitive recovery. Researchers have linked the biochemical changes and byproducts resulting from this cascade of damaging molecules to the development of long-term neurological disorders such as Alzheimer’s, Parkinson’s and ALS, among others.
However, compounds called antioxidants can target this oxidative stress and improve long-term neurocognitive recovery by chemically interacting with reactive oxygen species in a way that can neutralize their damaging properties.
Finding the ideal antioxidant
My team and I studied whether an antioxidant called a thiol group could help treat traumatic brain injury.
Thiol groups are chemical compounds that contain a sulfur atom bound to a hydrogen atom. Sulfur atoms are much larger than hydrogen atoms, which means the sulfur atom in a thiol has a strong pull on a hydrogen atom’s lone electron. This weakens the bond between the hydrogen and its electron, allowing the hydrogen to easily give up its electron to other atoms.
As a result, thiols readily interact with many different reactive oxygen species, including the ones that damage DNA. We chose thiols not only for their antioxiant properties, but also for their ability to bind to and neutralize other brain-damaging molecules called lipid peroxidation products. These neurotoxic compounds are formed as byproducts when reactive oxygen species damage fats in the body.
To get these thiols into the body, we incorporated them into materials called polymers. These are long chains of organic molecules made of individual units called monomers. To get the monomers to link together, a lone electron – or free radical – initiates a bond with a monomer, triggering a chain reaction. Think of this process like knocking down a series of dominoes: The push of your hand (the free radical in this instance) hits a domino (the monomer) and subsequently knocks down the rest of the dominoes to form a line (the polymer).
Because thiols can inhibit this process of polymerization, we had to make a monomer with a so-called protecting group that can be chemically removed after polymerization to become our thiols. Since a-lipoic acid, a common supplement found in pharmacies, contains such a protecting thiol group, we used it to make our monomer.
We then made a chain of these monomers with RAFT, a controlled process by which polymers can be designed to leave the body through the urine. To do this, a water-soluble co-monomer can be added into the chain, allowing the polymer to dissolve in the bloodstream.
Finally, we treated the polymers to remove the protecting group, producing thiol polymers ready for further testing.
Testing on TBI
Next, we tested how well our thiol polymers neutralized reactive oxygen species.
First, we used a technique called UV-visible spectrophotometry, which shines a laser into a cell sample containing both our polymer and brain-damaging molecules. If there are reactive oxygen species present in the sample, the light will be minimally absorbed. But if our polymer neutralizes these compounds, then the light will be heavily absorbed. Through these studies, we found that our thiol polymer neutralized reactive oxygen species such as hydrogen peroxide by as much as 50%, and other neurotoxic molecules such as acrolein by as much as 100%, thus protecting neurons from damage.
We conducted additional tests by exposing fluorescent proteins to free radicals, finding that proteins that weren’t treated with our thiol polymers were destroyed. Proteins that were treated continued to be fluorescent, indicating that our thiol polymer neutralized the free radical and protected the protein.
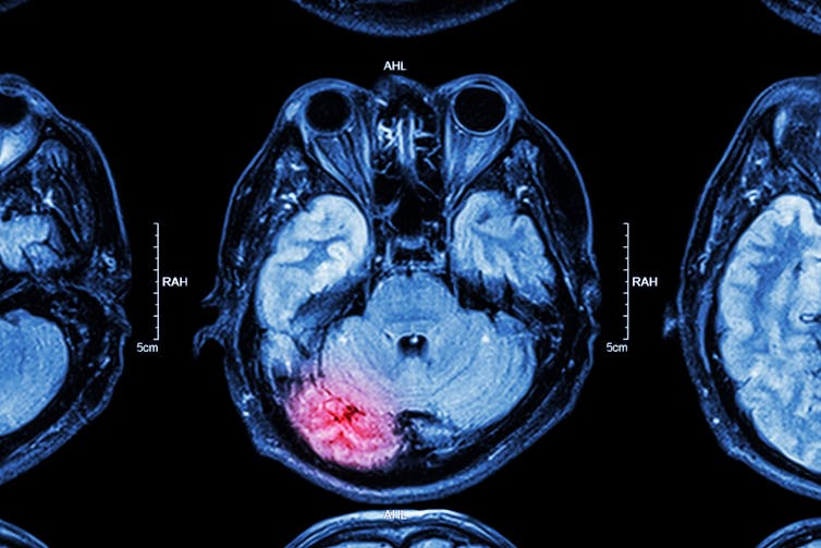
Lastly, we injected the thiol polymers into mice with traumatic brain injury. Brain scans showed that our polymer not only successfully concentrated in the damaged area of the brain but also provided immediate protection from further injury. Our thiol polymer was able to reduce reactive oxygen species in injured mice to just 3% over the normal levels found in uninjured mice. Untreated mice with traumatic brain injury had a 45% increase compared with uninjured mice.
Future work on thiol polymers
Our findings suggest that these thiol polymers may serve as a potential treatment for the secondary stage of traumatic brain injury. Further testing can help determine whether this material could potentially reduce the risk of long-term disability.
We are currently developing a cheap process to incorporate thiols with tiny nanoparticles. This may help increase the number of thiols in the material while also improving its ability to circulate in the bloodstream for longer protection.
Many additional studies in animals are needed to confirm the effectiveness of our material in treating traumatic brain injury. If our results continue to be positive, we aim to test the effectiveness of our material in people through clinical trials. We hope these treatments could improve the long-term outcomes for victims of car crashes, falls or even sport-related injuries to the brain.
Aaron Priester received funding from the NIH.
This article was originally published on The Conversation. Read the original article.