Get all your news in one place.
100’s of premium titles.
One app.
Start reading
The Independent UK
The Independent UK
Science
Andrew Griffin

Scientists might have been looking for ovarian cancer in the wrong place, new breakthrough study suggests

Scientists might have been looking for ovarian cancer in the wrong place, according to a breakthrough new study.

The findings could offer new ways of preventing and treating the disease, which is one of the biggest killers of women.

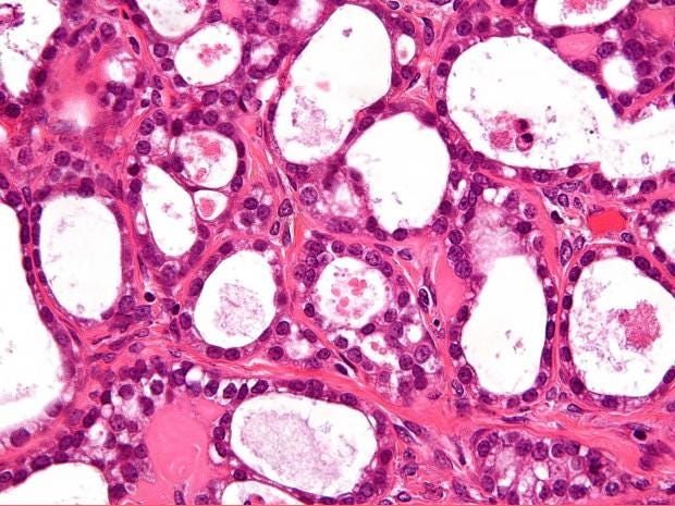
Researchers had long suspected that ovarian cancer originates in the fallopian tubes, which run between the ovaries and the uterus. And the new study suggests that is correct, offering new ways of spotting and dealing with the disease.

Ovarian cancer is the fifth largest cause of cancer deaths for women. And that is partly because it is often spotted so late, meaning that only 30 per cent of women with the disease live for 10 more years.

Scientists now say that those problems might have arisen because researchers were looking in the wrong place, at the wrong tissue. The new discovery could make it much easier to spot the cancer, and earlier, they said.

"Ovarian cancer treatments have not changed much in many decades, and this may be, in part, because we have been studying the wrong tissue of origin for these cancers," said Victor Velculescu, a professor of oncology at the Johns Hopkins Kimmel Cancer Center who led the study.

"If studies in larger groups of women confirm our finding that the fallopian tubes are the site of origin of most ovarian cancer, then this could result in a major change in the way we manage this disease for patients at risk."

The research, which only looked at a relatively small number of women, took cells from a range of people who had been diagnosed with the disease, and looked at the genetic variations in the tissues in their ovaries and fallopian tubes.

That work led them to conclude that while the cancers might first be observed in the ovary, they appeared to have begun in the fallopian tubes. The cancers were the result of a "seeding event", they said, which began there.

Once the cancer reached the ovaries, it progressed quickly, very soon becoming metastatic and able to spread through the rest of the body. "This aligns with what we see in the clinic, that newly-diagnosed ovarian cancer patients most often already have widespread disease," said Velculescu.

Researchers hope that further work will allow them to check those findings – and, if they are correct, save women the invasive and dangerous procedures of hormone treatment or the removal of their ovaries. It could also allow them to more quickly and easily detect the disease, they said, allowing them to detect the cancer more quickly and so potentially avoid deaths.

Sign up to read this article
Read news from 100’s of titles, curated specifically for you.
Already a member? Sign in here
Related Stories
Top stories on inkl right now
One subscription that gives you access to news from hundreds of sites
Already a member? Sign in here
Our Picks
Fourteen days free
Download the app
One app. One membership.
100+ trusted global sources.