
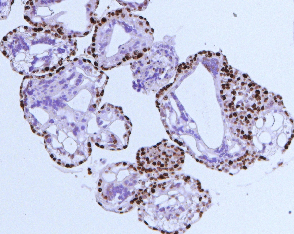
LONDON, Nov 28 (Reuters) - - Scientists in Britain have succeeded in creating mini human placenta organoids which they say will transform scientific understanding of reproductive disorders such as pre-eclampsia and miscarriage.
The organoids - miniature functional cellular models of the human placenta's earliest stages - will also allow researchers to explore what makes a pregnancy healthy, and how certain diseases can pass from a mother to a developing baby.

The human placenta supplies all the oxygen and nutrients essential for growth of a foetus. If it fails to develop properly, pregnancy can fail and end in stillbirth or miscarriage, or babies can be born with developmental problems.
Ashley Moffett, a professor at Cambridge University's pathology, physiology, development and neuroscience department who co-led the work, explained that while the placenta is absolutely essential for supporting a baby as it grows inside the mother, researchers know relatively little about it because of a lack of good experimental models.
"It's the first organ that develops, yet it's also the least understood," she told reporters at a briefing.

The field of organoid science has blossomed in recent years, with research teams growing everything from mini-brains to mini-livers to mini-lungs and using them to gain greater understanding of human biology and disease.
DECADES OF RESEARCH
The Cambridge team, whose latest work was published in the journal Nature, began their efforts to grow human placental cells more than 30 years ago when Moffett and colleagues were studying cellular events in the first few weeks of pregnancy.
The team gradually developed ways to isolate and characterize placental cells, and eventually found the right combination of harvested cells and an organoid culture system to enable the generation of mini placenta models.
"We've been trying to do this for years," Moffett said.
Graham Burton, who also worked on this research, said the mini-placenta success should also shed light on other poorly-understood aspects of relationships between the placenta, the uterus and the foetus. These include how the placenta prevents some infections passing from the mother's blood to the baby, but fails to stop others, such as the Zika virus, for example.
The organoids may also be used for safety screening of drugs for possible use in early pregnancy, and to deepen understanding of how chromosomal abnormalities can disrupt normal development.
Vivian Li, a specialist at Britain's Francis Crick Institute not involved in this work, said it was an "exciting" step.
"These mini-placentas are generated in small-scale, and certainly cannot be used for making babies in a dish. But the ability to culture (them) in the dish has opened up the possibilities for more complex studies," she said in an emailed statement.
(Reporting by Kate Kelland; Editing by Gareth Jones)