Get all your news in one place.
100’s of premium titles.
One app.
Start reading
The Guardian - UK
The Guardian - UK
Science
Jimmy Whitworth

Ralph Lainson obituary

Ralph Lainson holds the record as the longest-serving grant holder of the Wellcome Trust.
Ralph Lainson holds the record as the longest-serving grant holder of the Wellcome Trust. Photograph: Wellcome Images/Wellcome Trust

Ralph Lainson, who has died aged 88, was a scientist who studied parasite infections in the Amazon region of Brazil for more than 50 years. His work contributed significantly to defining the global public health importance of the leishmaniases, a group of neglected tropical diseases.

These are caused by parasites from more than 20 species of Leishmania being transmitted to a variety of mammals, including humans, by the bites of phlebotomine sandflies. There are three main forms of the disease – cutaneous, visceral and mucocutaneous leishmaniasis – that affect between 1 and 2 million people each year.

Lainson first went to the tropics in 1960 as director of the Dermal Leishmaniasis Unit in British Honduras (now Belize). His aim was to find the source of cutaneous leishmaniasis, known locally as “chiclero ulcer”. In 1965, he established the Wellcome Trust Parasitology Unit at the Evandro Chagas Institute in Belém, northern Brazil, with a three-year grant. He stayed for five decades, and under his direction the unit made many significant discoveries about leishmaniasis and other parasitic diseases. Together with his collaborators, he described more than 100 species of protozoan parasites in Brazil alone and published more than 150 scientific papers. He even had a parasite named after him: Leishmania (Viannia) lainsoni, discovered in 1987.

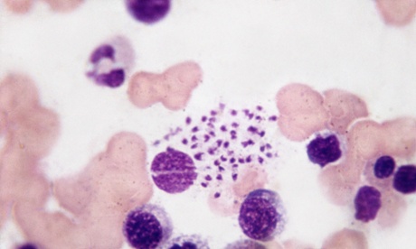
Leishmaniasis: bone marrow smear.
Leishmaniasis: bone marrow smear. Photograph: Wellcome Images

In 1969, he published the first record of Chagas disease, another infection of great public health importance for Latin America, in the Amazon region of Brazil, demonstrating that it could spread easily through food contaminated with faeces from species of blood-sucking triatomine bugs. By 1979, 13 Leishmania species had been discovered in the Americas, eight of which infected humans, and Lainson proposed a new classification system, which has helped to define outbreaks of the disease in the region.

This improved knowledge of the complex ecology, epidemiology and distribution of each Leishmania species has had considerable public health and therapeutic implications for the control of the wide range of symptoms caused by these parasites. Brazil’s increasing urbanisation has meant that groups are often exposed to different species and the variety of sandflies that transmit them.

Lainson was born in Upper Beeding, West Sussex, to Anne (nee Denyer) and Charles, a chemist who worked for Portland Cement. His love affair with the parasitic world began, far from the tropics, while fishing with his father on the rivers of Sussex. He was educated at Steyning grammar school, and served in the army during the second world war, before reading biology at Brighton Technical College and then joining the London School of Hygiene and Tropical Medicine (LSHTM), where he completed his PhD and worked as a lecturer under the supervision of Professor Cyril Garnham.

Lainson recalled that, one day, the professor called his young lecturer into his office. “He said to me, ‘Lainson, you can’t learn anything about tropical medicine in London, you’ve got to go to the tropics.’” Garnham arranged for Lainson to go to British Honduras to work on the epidemiology of leishmaniasis. “He had a very dry sense of humour. I was a bit disappointed with the low salary, and he said, ‘Oh Lainson, you needn’t worry, there are all sorts of bush meat you can eat. I understand that the iguana tails are very nice … ’”

Lainson was elected fellow of the Royal Society in 1982 and in the same year was awarded an honorary fellowship at LSHTM, the school’s most prestigious honour. He received the Chalmers medal (1971) and Manson medal (1982) from the Royal Society of Tropical Medicine and Hygiene, alongside a string of awards for services to parasitology in Brazil. In 1996 he was made OBE.

Ralph Lainson, right, being congratulated by the Duke of Edinburgh.
Ralph Lainson, right, being congratulated by the Duke of Edinburgh. Photograph: Wellcome Images

Although the Wellcome Unit closed in 1992, its legacy continues at the Instituto Evandro Chagas, now a hub for visiting scientists researching all aspects of Leishmania and other parasites, from ecology to epidemiology, immunology and the genetics of host responses to infection. Lainson continued to be funded by the Wellcome Trust and held the record as their longest-serving grant-holder at 47 years. Although he retired in 1996, Lainson continued to work in the laboratory until 2012, when the increasing traffic in Belém finally deterred him from making his daily commute from his home to the office.

When interviewed in 2011, he was still spending his spare time looking down a microscope, finding out more about the protozoan parasites of the Amazonian fauna. “What I love about my work is the opportunity to discover and enjoy the extraordinary beauty of structure and complicated life cycles of these little organisms,” he said. “It’s not work, more of a very interesting hobby, and these parasites are rather beautiful little creatures.”

Lainson is survived by his second wife, Zeá (nee Lins), whom he married in 1974, and by three children, Stephen, Amanda and Karen, from his first marriage, to Anne (nee Russell), which ended in divorce.

• Ralph Lainson, parasitologist, born 21 February 1927; died 5 May 2015

Sign up to read this article
Read news from 100’s of titles, curated specifically for you.
Already a member? Sign in here
Related Stories
Top stories on inkl right now
One subscription that gives you access to news from hundreds of sites
Already a member? Sign in here
Our Picks
Fourteen days free
Download the app
One app. One membership.
100+ trusted global sources.