
An ancient Egyptian mummy once believed to be the remains of a male priest is actually the embalmed body of a woman in the third trimester of pregnancy, Polish scientists said on Friday.
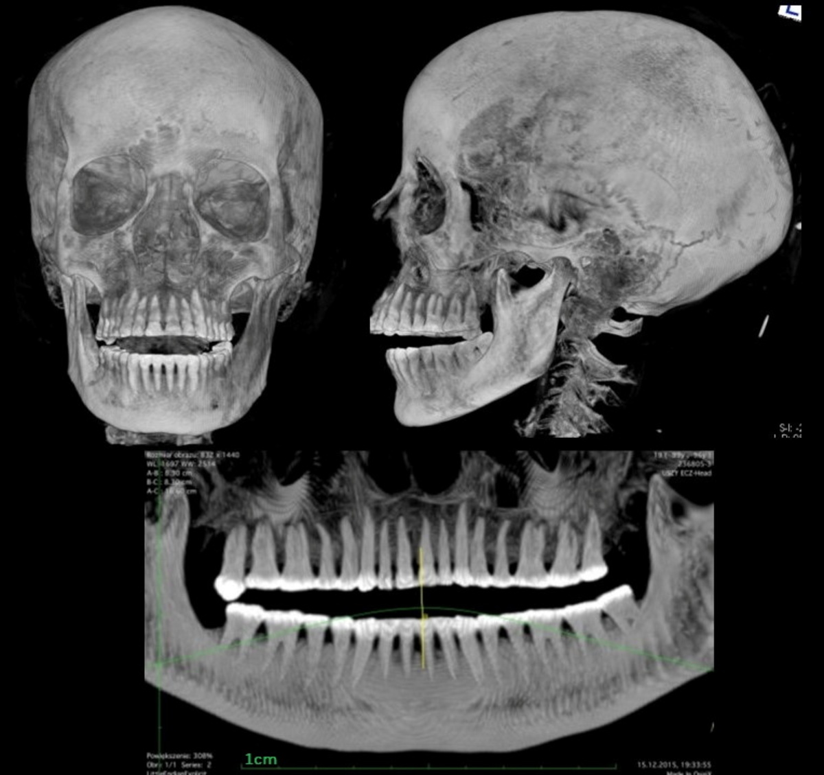
Marzena Ozarek-Szilke, an anthropologist at the Warsaw Mummy Project, was examining a CT scan of a mummy at the National Museum in the Polish capital when she spotted something peculiar.
"When I looked at the lesser pelvis of our mummy I was interested in what was inside... I thought I saw a tiny foot," Ozarek-Szilke said.

She asked her husband, an archaeologist who also worked on the project, to take a look.
"My husband looked at the picture and as a father of three, he said: 'Well, that's a foot'. At that moment ... the whole picture started to come together," Ozarek-Szilke told Reuters.
The mummy came to Poland in the 19th century when the nascent University of Warsaw was creating an antiquities collection. For decades, it was thought the mummy belonged to an ancient Egyptian priest named Hor-Dehuti.

However, in a discovery revealed in the Journal of Archaeological Science on Thursday, scientists at the Warsaw Mummy Project said the mummy was in fact a woman in her twenties who was between 26 and 28 weeks pregnant.
The cause of death is not clear, but Ozarek-Szilke said the pregnancy may have had something to do with it.
"It is possible that the pregnancy itself contributed to the death of this woman. Now we have modern medicine, women who are between 20 and 30 weeks pregnant and something happens to the pregnancy, they have a chance to be rescued. It used to be impossible," she said.

The discovery sheds some light on the little-known role of children in ancient Egypt and the religious beliefs of the time, but also raises many questions, according to Wojciech Ejsmond, co-director of the Warsaw Mummy Project.
"What was the status of this child in the Egyptian religion? Did it have a soul, could it go to the afterlife on its own, could it be reborn in the afterlife... if it was not yet born?"
Ejsmond said scientists would study the mummy further to determine the cause of death and establish why the foetus was left in the body.

"We must be open to all possibilities," he said.
(Reporting by Alicja Ptak and Aleksanda Szmigiel; Editing by Raissa Kasolowsky)
