Get all your news in one place.
100's of premium titles.
One app.
Start reading
ABC News
ABC News
Health
Peter Lacey

Northern Territory artist Kaye Strange opens exhibition of works inspired by tragic accident

A tragic accident that saw artist Kaye Strange lose several fingers has inspired her work, rather than hold it back.  (ABC News: Peter Lacey)

Prominent Northern Territory artist Kaye Strange was using a circular saw to renovate her Darwin art studio when she accidentally severed two and a half fingers from her left hand.

"I just remember thinking, 'I've cut my hand off, that's my left hand, I am an artist,'" she said.

"I didn't think there was any coming back from this one."

What happened next surprised the 54-year-old.

"Something new happened, a new kind of connection. I don't know how to explain it except that there was something there that wasn't there before," Ms Strange said.

Her stepson Callum Kanaras, 27, said he was downstairs studying at the time of the accident when he heard a scream.

Mr Kanaras rushed her to hospital after the accident. (ABC Nes: Peter Lacey)

He instinctively realised something horrible had happened.

"I ran outside and the first thing I saw was Kaye, and she had her hand in her shirt…and you could see blood from where she'd been walking," he said.

"My first thought was to get Kaye to the hospital, but I was also thinking about the fingers."

Mr Kanaras drove Ms Strange to the Emergency Department at the Royal Darwin Hospital and then rushed back home to retrieve the severed fingers, hoping surgeons would be able to reattach them.

A neighbour had already collected the fingers but efforts to reattach Ms Strange's left index, middle and ring fingers were ultimately unsuccessful.

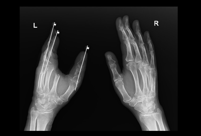
An X-ray showing Ms Strange's injured left hand. (Supplied: Kaye Strange )

Ms Strange spent 10 days in the hospital and underwent five operations.

Mr Kanaras said it was hard to watch "someone you really care for go through such challenging times, but all you can do is support the best that you can".

Ms Strange said when she returned home from the hospital it was hard for her to enter her art studio again.

Painting proved to be a great form of therapy. (ABC News: Peter Lacey)

Eventually, Ms Strange said she found the strength to pick up a paint brush again, and found it therapeutic.

"I found that by drawing around my hand and drawing my hand, I was trying to do my own sort of self-therapy and give my brain the chance to try and understand," she said.

Now, an exhibition showcasing 100 of Ms Strange's post-accident hand sketches and abstract paintings has opened on the ground floor of the Harbour View Plaza in Darwin's CBD.

It is titled "Post Op Pop," which Ms Strange said is a play on the idea of "bursting one's bubble" and symbolises her journey before and after the accident.

Ms Strange says the accident prompted a transformation in her art. (ABC News: Che Chorley)

She said she was excited about the exhibition "because it's my pain" and draws on her past work while looking forward as well.

Ms Strange, who moved to live in Darwin in 2003, has exhibited artwork both on national and international stages since 1985.

Some of the exhibited artworks inspired by Ms Strange's injury. (ABC News: Che Chorley)
Sign up to read this article
Read news from 100's of titles, curated specifically for you.
Already a member? Sign in here
Related Stories
Top stories on inkl right now
One subscription that gives you access to news from hundreds of sites
Already a member? Sign in here
Our Picks
Fourteen days free
Download the app
One app. One membership.
100+ trusted global sources.