Get all your news in one place.
100’s of premium titles.
One app.
Start reading
The Guardian - US
The Guardian - US
Comment
Robert Smith

Missouri should not execute Cecil Clayton: he is missing a part of his brain

cecil clayton brain scan
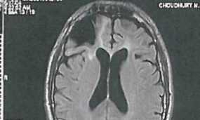
Cecil Clayton’s brain scan shows that he is missing a large chunk of his prefrontal cortex. Photograph: Cecil Clayton

Cecil Clayton, who is scheduled to be executed by the state of Missouri on Tuesday night, is a 21st century Phineas Gage: in 1972, while working in a lumberyard, a malfunctioning saw blade sent a large chip of wood hurling through the air and straight into Cecil Clayton’s skull. He survived but lost 20% of his prefrontal lobe in the accident and everything changed. Whereas once he had a job and a family and was involved in his church, after the accident he became impulsive, suffered from fixed-hallucinations, and had several violent outbursts. One night, in the course of a familial dispute, Clayton shot and killed a police officer that had been dispatched to the scene. A Missouri jury sentenced Clayton to death.

Phineas Gage suffered a similar accident in the 19th century: an accidental explosion at the railroad where Gage worked sent a long iron rod hurling through the air and straight into his skull. Gage, too, survived, but he transformed from a quiet and gentle soul into an impulsive and brash man. He was, according to those who knew him best, “no longer Gage”.

Because of Gage, neuroscientists now know exactly what caused these dramatic personality changes. The iron rod that entered Gage’s skull caused extreme damage to his prefrontal cortex, which is the area of the brain responsible for decision-making. In healthy individuals with a properly functioning brain, the prefrontal cortex helps us to problem solve, abstract from past mistakes and make sound judgments. For individuals like Gage and Clayton, a damaged prefrontal cortex makes it difficult to reign in impulses or to reason through the problems that confront us.

Three different doctors have declared Clayton incompetent since he was sentenced to death. One physician noted that Clayton believes he is on a mission from Christ and that he will be released from prison once that mission is complete. Another physician concluded that Clayton does not “comprehend, appreciate nor understand” his coming execution date.

The eighth amendment to the United States constitution tolerates capital punishment so long as its imposition is limited to the worst of the worst offenders. The US supreme court has held that a juvenile offender cannot meet this culpability threshold no matter how heinous the crime – and neither can an individual who is intellectually disabled. Clayton could not be executed if he had committed the homicide as a teenager, even though he had not yet suffered catastrophic brain damage at that point in his life – and if Clayton had an organic intellectual disability instead of a freak-accident that destroyed his prefrontal cortex, he could not be executed, even though the symptoms are similarly debilitating.

A jurisprudence that anchors death-ineligibility not on the degree of one’s functional impairment, but rather on the cause of the impairment is as arbitrary as it is morally absurd. It would be one thing if Cecil Clayton’s case were an extreme outlier. But it isn’t.

Florida recently executed a paranoid schizophrenic man named John Ferguson who developed increasingly serious delusions after suffering from a gunshot injury to the head. Ferguson believed that the state was going to execute him for preaching the gospel, and that after his execution he would rise to sit next to Christ. Just this year, Georgia executed Warren Hill despite the fact that seven different doctors – including three employed by the state – concluded that Hill suffered from an intellectual disability.

Or consider Vietnam War veteran Andrew Brannan. His combat service saved the lives of numerous American soldiers, but it also resulted in a chronic, severe and debilitating post traumatic stress disorder. This January, Brannan was executed by the nation for whom he served.

America routinely executes offenders with serious and persistent mental illness, people with significantly sub-average intellectual functioning, offenders who suffered from torturous sexual and physical abuse as children, and people who committed their crime when they were not old enough to buy a beer. Executions are not limited to the worst of the worst; we routinely execute the weakest of the weak.

There is a lot of blame to go around for this state of affairs. It would be easier for a jury to consider the moral implications of serious functional impairments if the quality of trial lawyering in capital cases improved. There would be less of a burden on federal courts if state supreme courts engaged in the type of substantive proportionality review that many death penalty jurisdictions at least purport to require, or if elected governors in Missouri, Florida, Georgia used their clemency powers to prevent the execution of those for whom capital punishment is unnecessary.

The ultimate obligation to guard against the imposition of excessive punishment rests with the United States supreme court ... and now that court is the only remaining hope for Cecil Clayton. It has the power and the prerogative to prevent this excessive execution. How many times can the justices choose not to intervene when a state seeks to execute a seriously impaired individual before the public loses faith in the court’s moral legitimacy?

Sign up to read this article
Read news from 100’s of titles, curated specifically for you.
Already a member? Sign in here
Related Stories
Top stories on inkl right now
One subscription that gives you access to news from hundreds of sites
Already a member? Sign in here
Our Picks
Fourteen days free
Download the app
One app. One membership.
100+ trusted global sources.