Get all your news in one place.
100’s of premium titles.
One app.
Start reading
Reuters
Reuters
Health
Callaghan O'Hare and Maria Caspani

'I cannot save everybody': Houston doctor fights newest COVID-19 surge

Fernando Olvera, 26, a medical school student, helps Efrain Guevara, 63, who has been hospitalised with COVID-19, get up from his hospital bed, at United Memorial Medical Center (UMMC), during the coronavirus disease (COVID-19) outbreak, in Houston, Texas, U.S., July 17, 2020. REUTERS/Callaghan O'Hare

The scene inside United Memorial Medical Center in Houston has become all too familiar: overwhelmed medical staff fighting to curb the wave of COVID-19 patients that come through the hospital’s doors every day.

While in earlier pandemic hot spots like New York the medical emergency has subsided, Texas is among the many U.S. states battling a resurgence of the virus that is straining their healthcare systems.

Dr. Joseph Varon, 58, the chief medical officer at United Memorial Medical Center, hugs Christina Mathers, 43, a nurse from his team who became infected with COVID-19, at United Memorial Medical Center (UMMC), during the coronavirus disease (COVID-19) outbreak, in Houston, Texas, U.S., July 25, 2020. REUTERS/Callaghan O'Hare

Dr. Joseph Varon, the chief medical officer of United Memorial Medical Center (UMMC), said he is afraid he will soon face a dilemma many doctors elsewhere said they confronted earlier in the pandemic: deciding who to save.

"I'm afraid that at some point in time I'm going to have to make some very serious decisions," he told Reuters in an interview. "I'm starting to get the idea that I cannot save everybody."

Varon, 58, is overseeing the hospital's unit dedicated to COVID-19 patients, where he said he tends to an average of 40 people a day. He said he signed more death certificates in the last week than at any point in his career.

The body of a patient, who died during an intubation procedure, is prepared by Flor Trevino, 39, a nurse, to be transported to a morgue, at United Memorial Medical Center (UMMC), during the coronavirus disease (COVID-19) outbreak, in Houston, Texas, U.S., July 17, 2020. REUTERS/Callaghan O'Hare

Earlier this month, Reuters followed the lung and critical care specialist on a shift as he hurried through the hallways - a small cohort of nurses and medical students in tow - pausing to inspect X-rays or medical charts and check on patients, at times offering them words of comfort or reaching out to hold their hand.

Many of those in Varon's COVID-19 unit needed nasal tubes to help them breathe, some required intubation.

In the afternoon, the physician and his team rushed to resuscitate a patient, performing CPR on the man who was later pronounced dead. Medical personnel covered his body in white sheets and wrapped it in a biohazard bag.

Dr. Joseph Varon, 58, the chief medical officer at United Memorial Medical Center (UMMC), and a team of healthcare workers perform CPR on a COVID-19 patient at UMMC, during the coronavirus disease (COVID-19) outbreak, in Houston, Texas, U.S., July 17, 2020. REUTERS/Callaghan O'Hare

As the coronavirus pandemic that has gripped the nation for months showed little signs of abating, healthcare workers on the frontlines often fall prey to the virus that has killed over 150,000 people in the United States. (Graphic: https://tmsnrt.rs/2P87LUu)

Varon's team is no exception. Christina Mathers, a 43-year-old nurse at UMMC, was told she tested positive for COVID-19 last week after she reported feeling ill during her shift.

"That's the hardest thing to ever hear... It messes with you," said Mathers, who has been working every other day since April 29. "But I wouldn't go anywhere else but here."

Dr. Joseph Varon, 58, the chief medical officer at United Memorial Medical Center (UMMC), speaks to Henry Rodriguez, 39, who has been hospitalised with COVID-19, at UMMC, during the coronavirus disease (COVID-19) outbreak, in Houston, Texas, U.S., July 10, 2020. REUTERS/Callaghan O'Hare

Varon, who was a hospital intern when a huge quake struck Mexico City in 1985, said dealing with the virus has been incredibly challenging for medical professionals. "Throughout my life, I have been in major disasters," he said. "Nothing has been as difficult to deal with (as) COVID."

Riley Harrison, 67, said he started feeling out of breath at work and that he struggled to get enough air in his lungs to call his wife, who also contracted the virus. Now, they are both hospitalized at UMMC.

"I couldn't breathe," Riley said in a whisper as oxygen flowed through tubes in his nose. "If you got a death wish, play with COVID."

Jonnie Harrison, 70, sleeps in a bed next to her husband Riley Harrison, 67, both of whom have been hospitalised with COVID-19, at United Memorial Medical Center (UMMC), during the coronavirus disease (COVID-19) outbreak, in Houston, Texas, U.S., July 25, 2020. REUTERS/Callaghan O'Hare

Medical experts and officials have been sounding the alarm on the growing number of young people who are falling ill with COVID-19, warning they should not discount it as a virus dangerous for elderly people alone.

Eighteen-year-old Larissa Raudales had trouble breathing and said her lungs hurt when she was taken to UMMC. With medication, she was starting to feel better.

"I was terrified... I thought I couldn't breathe anymore," she said. "I just thought I was going to practically die right there."

Fernando Olvera, 26, a medical student, wears a picture of himself around his neck for patients to know what he looks like while wearing personal protective equipment (PPE), as he visits the room of a COVID-19 patient, at United Memorial Medical Center (UMMC), during the coronavirus disease (COVID-19) outbreak, in Houston, Texas, July 25, 2020. REUTERS/Callaghan O'Hare

Texas, along with California and Florida, has emerged as one of the new national hot spots. So far in July, the state has more than doubled its cases to over 400,000 total. Deaths rose by 32%, or over 1,000 lives lost, in the last week alone. But lately the number of new cases has slowed and hospitalized COVID-19 patients are down from record highs.

Dr. David Persse, the health authority for the Houston Health Department, said hospitals in the area were "struggling" as they dealt with a shortage of personnel to tackle a crisis that has been dragging out for months.

"The people who work in hospitals are exhausted... It takes a physical and an emotional toll on you," he said. "It's not always been pretty but it's been functional, and this is why we call it a disaster."

FILE PHOTO: Lucy Dombovy, 37, a nurse, wears personal protective equipment (PPE) as she signals to a colleague while peeking her head out of an intensive care unit for COVID-19 patients, at United Memorial Medical Center (UMMC), during the coronavirus disease (COVID-19) outbreak, in Houston, Texas, U.S., July 10, 2020. REUTERS/Callaghan O'Hare

(Click on https://reut.rs/3hOPbgm to see a related photo essay)

(Reporting by Callaghan O'Hare in Houston; additional reporting by Maria Caspani in New York; writing by Maria Caspani; editing by Paul Thomasch and Lisa Shumaker)

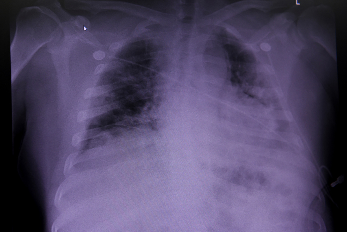
An X-ray of a COVID-19 patient's lungs is looked over by Dr. Joseph Varon (not pictured), the chief medical officer at United Memorial Medical Center (UMMC), during the coronavirus disease (COVID-19) outbreak, in Houston, Texas, U.S., July 10, 2020. REUTERS/Callaghan O'Hare
Hector Ortiz-Garcia, 63, who has been hospitalised with COVID-19, texts members of his family from his hospital bed at United Memorial Medical Center (UMMC), during the coronavirus disease (COVID-19) outbreak, in Houston, Texas, U.S., July 25, 2020. REUTERS/Callaghan O'Hare
Live camera footage of a patient hospitalised with COVID-19 is shown from a computer monitor during a daily meeting lead by Dr. Joseph Varon (not pictured), the chief medical officer at United Memorial Medical Center (UMMC), with a team of healthcare professionals, during the coronavirus disease (COVID-19) outbreak, in Houston, Texas, U.S., July 10, 2020. REUTERS/Callaghan O'Hare
Fernando Olvera, 26, a medical student, wears a picture of himself around his neck for patients to know what he looks like while wearing personal protective equipment (PPE), as he visits the room of a COVID-19 patient, at United Memorial Medical Center (UMMC), during the coronavirus disease (COVID-19) outbreak, in Houston, Texas, July 25, 2020. REUTERS/Callaghan O'Hare
Larissa Raudales, 18, who has been hospitalised with COVID-19, sits on a hospital bed as she is checked on by Fernando Olvera, 26, a medical student, at United Memorial Medical Center (UMMC), during the coronavirus disease (COVID-19) outbreak, in Houston, Texas, U.S., July 25, 2020. REUTERS/Callaghan O'Hare
Dr. Joseph Varon, 58, the chief medical officer at United Memorial Medical Center (UMMC), goes over the files of patients infected with COVID-19, at a daily meeting with his team of healthcare workers, during the coronavirus disease (COVID-19) outbreak, at UMMC, in Houston, Texas, U.S., July 17, 2020. REUTERS/Callaghan O'Hare
Riley Harrison, 67, who has been hospitalised with COVID-19, lies on a hospital bed as he watches television, at United Memorial Medical Center (UMMC), during the coronavirus disease (COVID-19) outbreak, in Houston, Texas, U.S., July 25, 2020. REUTERS/Callaghan O'Hare
The face shield of DeAnndrea Scott, a healthcare worker, fogs up as she and a team of healthcare workers lead by Dr. Joseph Varon, the chief medical officer at United Memorial Medical Center (UMMC), perform CPR on a COVID-19 patient, at UMMC, during the coronavirus disease (COVID-19) outbreak, in Houston, Texas, U.S., July 17, 2020. REUTERS/Callaghan O'Hare
The face shield of DeAnndrea Scott, a healthcare worker, fogs up as she and a team of healthcare workers lead by Dr. Joseph Varon, the chief medical officer at United Memorial Medical Center (UMMC), perform CPR on a COVID-19 patient, at UMMC, during the coronavirus disease (COVID-19) outbreak, in Houston, Texas, U.S., July 17, 2020. REUTERS/Callaghan O'Hare
Dr. Joseph Varon, 58, the chief medical officer at United Memorial Medical Center (UMMC), checks his phone after getting home from work, during the coronavirus disease (COVID-19) outbreak, in Houston, Texas, U.S., July 20, 2020. REUTERS/Callaghan O'Hare
Dr. Joseph Varon, 58, the chief medical officer at United Memorial Medical Center (UMMC), passes a piece of paper to Cesar Barrera, 24, a healthcare worker, as he checks on patients being treated for various diseases in the emergency room at UMMC, during the coronavirus disease (COVID-19) outbreak, in Houston, Texas, U.S., July 10, 2020. REUTERS/Callaghan O'Hare
Dr. Joseph Varon, 58, the chief medical officer at United Memorial Medical Center (UMMC), and a team of healthcare workers perform CPR on a COVID-19 patient at UMMC, during the coronavirus disease (COVID-19) outbreak, in Houston, Texas, U.S., July 17, 2020. REUTERS/Callaghan O'Hare
Dr. Joseph Varon, 58, the chief medical officer at United Memorial Medical Center (UMMC), talks to Sarah, his wife, after arriving home from work, during the coronavirus disease (COVID-19) outbreak, in Houston, Texas, U.S., July 20, 2020. REUTERS/Callaghan O'Hare
Dr. Joseph Varon, 58, the chief medical officer at United Memorial Medical Center (UMMC), puts on personal protective equipment (PPE), before treating COVID-19 patients at United Memorial Medical Center, during the coronavirus disease (COVID-19) outbreak, in Houston, Texas, U.S., July 17, 2020. REUTERS/Callaghan O'Hare
Dr. Joseph Varon, 58, the chief medical officer at United Memorial Medical Center (UMMC), sits at a table in the staff lounge as he talks on his phone, at United Memorial Medical Center, during the coronavirus disease (COVID-19) outbreak, in Houston, Texas, U.S., July 10, 2020. REUTERS/Callaghan O'Hare
Sign up to read this article
Read news from 100’s of titles, curated specifically for you.
Already a member? Sign in here
Related Stories
Top stories on inkl right now
One subscription that gives you access to news from hundreds of sites
Already a member? Sign in here
Our Picks
Fourteen days free
Download the app
One app. One membership.
100+ trusted global sources.