
The human brain is a marvel of complexity. It contains specialised and interconnected structures controlling our thoughts, personality and behaviour.
The size and shape of our brains also play a crucial role in cognitive functions and mental health. For example, a slightly smaller hippocampus, the structure responsible for regulation of memory and emotion, is commonly seen in depression. In dementia, atrophy of the hippocampus is correlated with memory loss and cognitive decline.
Despite these insights, we have only scratched the surface of understanding the brain and its connection to mental health.
In collaboration with scientists around the world, we have conducted the world’s largest genetic study of the volume of regional structures of the brain. This study is now published in Nature Genetics.
We discovered hundreds of genetic variants that influence the size of structures such as the amygdala (the “processing centre” for emotions), the hippocampus and the thalamus (involved in movement and sensory signals).
We uncovered their potential overlap with genes known to influence the risk of certain developmental, psychiatric and neurological disorders.
More than 70,000 brains
To understand how the brain connects to mental health, scientists like ourselves engage in large-scale scientific studies that span the globe.
These studies, which involve thousands of volunteers, are the bedrock of modern biomedical research. They help us discover genes associated with brain size and mental health conditions. In turn, this can improve diagnostic precision and even pave the way for personalised medicine, which uses a person’s genetic test results to tailor treatments.
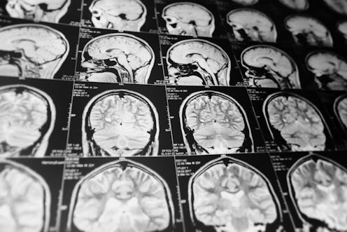
We screened the DNA and closely examined magnetic resonance imaging (MRI) scans from more than 70,000 people across 19 countries. We wanted to find out if there are specific genetic variants influencing differences in brain size between individuals.
What we found was stunning. Some of these genes seem to act early in life, and many genes also increase the risk for conditions like attention-deficit hyperactivity disorder (ADHD) and Parkinson’s disease.
What did we find out?
Brain-related disorders are common, with an estimated 40% of Australians experiencing a mental health disorder in their lifetime.
Our genetic findings reveal that larger regional brain volumes (the size of specific parts of the brain) are associated with a higher risk of Parkinson’s disease. In comparison, smaller regional brain volumes are statistically linked with a higher risk of ADHD.
These insights suggest that genetic influences on brain size are fundamental to understanding the origins of mental health disorders. And understanding these genetic links is crucial. It shows how our genes can influence brain development and the risk of mental health conditions.
By investigating shared genetic causes, we could one day develop treatments that address multiple conditions simultaneously, providing more effective support for individuals with various conditions. This is especially important in mental health, where it is common for someone to experience more than one disorder at the same time.
Our study also revealed that genetic effects on brain structure are consistent across people from both European and non-European ancestry. This suggests that certain genetic factors have stuck around throughout human evolution.
Bridging the gaps
Our research also lays the groundwork for using genetic data to develop statistical models that predict disease risk based on a person’s genetic profile.
These advancements could lead to population screening, identifying those at higher risk for specific mental health disorders. Early intervention could then help prevent or delay the onset of these conditions.
In the future, our goal is to bridge the gaps between genetics, neuroscience, and medicine. This integration will help scientists answer critical questions about how genetic influences on brain structure affect behaviour and disease outcomes.
Understanding the genetics of brain structure and mental health susceptibility can help us better prevent, diagnose and treat these conditions.
The concept of the “human brain” first appeared in ancient Greece around 335 BCE. The philosopher Aristotle described it as a radiator that prevented the heart from overheating. While we now know Aristotle was wrong, the complexities of the brain and its links to mental health remain largely mysterious even today.
As we continue to unlock the genetic secrets of the brain, we move closer to unravelling these mysteries. This type of research has the potential to transform our understanding and treatment of mental health.

Luis M. García Marín receives funding from The University of Queensland (UQ).
Miguel E. Rentería receives funding from the Rebecca L Cooper Medical Research Foundation, the Shake It Up Australia Foundation, The Michael J. Fox Foundation for Parkinson's Research & the Medical Research Future Fund.
This article was originally published on The Conversation. Read the original article.