Get all your news in one place.
100’s of premium titles.
One app.
Start reading
The Guardian - UK
The Guardian - UK
Politics
Clive Stafford Smith

Grim acts laid bare

X-rays of torture: Torture x-rays
Kurdistan The victim was hung from a clamp by his fingers. His thumbs had to be amputated. Photograph: Courtesy Hermann Vogel
X-rays of torture: Torture x-rays
Philippines This man died 14 days after having a nail hammered into his skull to expel evil spirits. Photograph: Courtesy Hermann Vogel
X-rays of torture: Torture x-rays
Northern Ireland A kneecapping - the black dots are ­pellets. Photograph: Courtesy Hermann Vogel
X-rays of torture: Torture x-rays
Zimbabwe A spear shot through a man’s hand. Photograph: Courtesy Hermann Vogel
X-rays of torture: Torture x-rays
Guinea Bissau Repeated blows caused the dark lines on this 40-year-old man's lower leg bones. Photograph: Courtesy Hermann Vogel
X-rays of torture: Torture x-rays
Iran The foot of a 14-year-old girl whose toes were clamped by ­revolutionary guards for wearing make-up. Photograph: Courtesy Hermann Vogel
X-rays of torture: Torture x-rays
Chad A man left with only two teeth in his lower jaw ­after being t­ortured with an electric t­runcheon. Photograph: Courtesy Hermann Vogel
X-rays of torture: Torture x-rays
South ­Africa A needle rammed into the victim’s back. Photograph: Courtesy Hermann Vogel
X-rays of torture: Torture x-rays
Turkey A victim of falaka - the beating of prisoners’ feet. Photograph: Courtesy Hermann Vogel
X-rays of torture: Torture x-rays
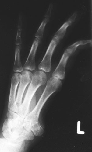
Sierra Leone This child’s arm was burned by militias. The scars ­tightened and ­deformed the hand. Photograph: Courtesy Hermann Vogel
Sign up to read this article
Read news from 100’s of titles, curated specifically for you.
Already a member? Sign in here
Related Stories
Top stories on inkl right now
One subscription that gives you access to news from hundreds of sites
Already a member? Sign in here
Our Picks
Fourteen days free
Download the app
One app. One membership.
100+ trusted global sources.