
Loading up on excess salt is known to be an ill-choice for health. Salty diets are responsible for half of all diet-related deaths and drive health problems like high blood pressure and cardiovascular disease.
Now, new research shows high salt diets can weaken and disrupt neutrophils — immune cells that ingest bacteria and help clear infections. When neutrophils can't do their job properly, people have a harder time fighting foreign invaders — a shift that could have deadly consequences.
“A high salt diet is known to pose cardiovascular health risks,” Christian Kurts, co-author of the new study and researcher at Rheinische Friedrich Wilhelm University, tells Inverse.
“We show it also compromises an important arm of the immune system.”
The new study, which evaluated mice and humans, was published Wednesday in the journal Science Translational Medicine.
Salt's complicated effect on immunity
To see how a high salt diet influences immune function, Kurts and his team zeroed in on pyelonephritis, a potentially life-threatening disease that stems from common bacterial urinary tract infections (UTIs). UTIs are the second most common infection in the body and are responsible for approximately eight million trips to the doctor every year.
Understanding whether salt boosts or hinders the body's ability to fight these painful infections could help the symptoms — a burning sensation, persistent need to urinate, and pelvic pain — disappear faster.
So, the researchers rounded up mice and fed them a low salt diet (0.1 percent sodium), a normal salt diet (0.3 percent sodium), or a high salt diet (over 1.71 percent sodium) for a week. Then they infected the mice with uropathogenic Escherichia coli (UPEC), a bacteria that causes pyelonephritis.
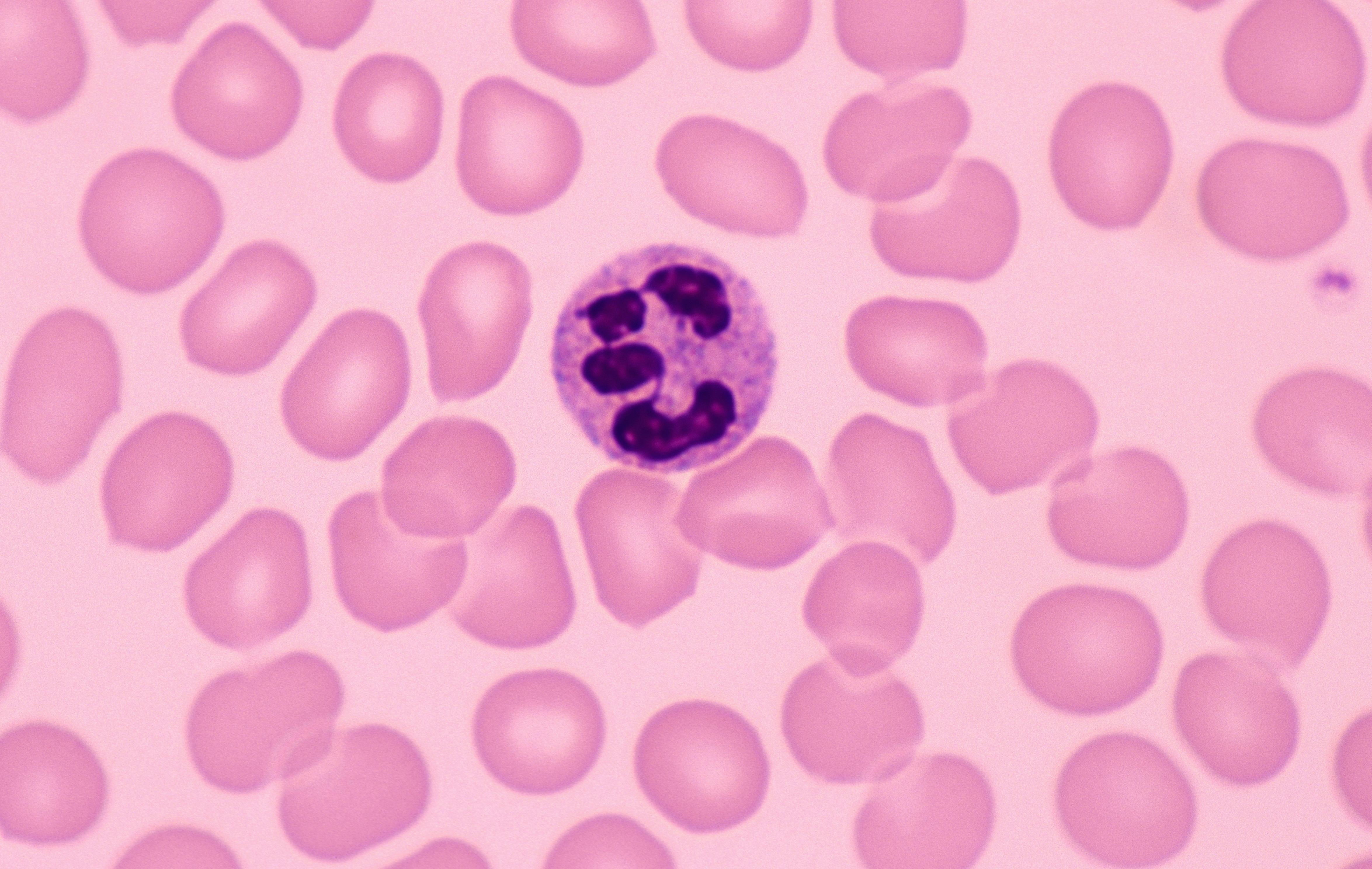
The researchers then observed how effectively mice on each diet fought the infection, paying particular attention to neutrophils — the most common type of white blood cell in the bloodstream, and often the first immune cells to defend against infection.

Mice with a high salt diet had four to six times more UPEC bacteria in their kidneys than mice fed a regular diet. The mouse immune systems on a high salt diet also didn't produce enough neutrophils to fend off that bacteria — effectively reducing their capacity to fight off disease.
In a second experiment, the scientists induced systemic infections caused by listeria monocytogenes, a common foodborne pathogen, in the mice. Again, the mice on the high salt diet's neutrophils were weakened, and worse at fighting the infection.
To figure out what these results mean for humans, the scientists recruited 10 people who consumed a normal diet with extra sodium tablets (6 grams of sodium per day, or the equivalent of adding two large fast-food meals daily).
The researchers took blood samples after a week of extra salt and exposed the participant's blood to the same UPEC bacteria. Just like the mice, people's neutrophils were hampered and digested bacteria less effectively.
Why does salt cause this immune effect?
Scientists aren't exactly sure why salt has this negative effect on immune cells, but they think it may come down to screwing up which hormones are produced in the adrenal glands. In the study, a high salt diet increased hormones called glucocorticoids, a group that includes cortisone, which suppress immune function.
"The stress hormone produced in the adrenal gland loses its diurnal rhythm [with a high salt diet]," Kurts explains. This causes the gland to become out of sync with the sleep and waking cycle.
"That affects other organs of the body, especially the brain," Kurts says. "People may get restless and nervous."
The new study adds to our complicated, and conflicting, understanding of how sodium influences immune function. While some research shows high sodium in the blood can actually make the immune system work overtime and boost T-cell production, other studies have demonstrated that high sodium can promote hypertension and immune-mediated diseases.
A high salt diet is generally assumed to be "immunostimulatory," or boost immune system activity, Kurts explains. It has been shown to activate macrophages, another important immune cell that eats foreign material and bacteria.
But an immune boost isn't always a good thing and research suggests too much salt can create an excessive immune response.
"We are the first to show an immunosuppressive effect," Kurts says. "A high salt diet suppresses another important immune cell type, the neutrophils, which defend us against bacteria."
More research, in humans, is needed to figure out exactly how salt influences the immune system.
How much salt is too much?
Salt is an essential electrolyte that helps our nerves and muscles function optimally. But it turns out, the average person is overdoing it. All of our processed food contains "heaps of salt" Kurts says, especially junk food.
Keeping salt below the recommended threshold — the Centers for Disease Control suggests adults consume no more than one teaspoon of salt or 2300 milligrams of sodium daily — should help people avoid a negative effect on immune function.
"Our findings suggest that the daily recommended intake of around 1 teaspoon, equivalent to 1.5 Big Mac meals, should not be exceeded too much," Kurts says.
This amount of salt seems "appropriate to the immune system," Kurt says. Most Americans consume at least 1.5 teaspoons of salt per day — an unfortunate reality when examined through the lens of this new study.
Abstract: The Western diet is rich in salt, which poses various health risks. A high-salt diet (HSD) can stimulate immunity through the nuclear factor of activated T cells 5 (Nfat5)–signaling pathway, especially in the skin, where sodium is stored. The kidney medulla also accumulates sodium to build an osmotic gradient for water conservation. Here, we studied the effect of an HSD on the immune defense against uropathogenic E. coli–induced pyelonephritis, the most common kidney infection. Unexpectedly, pyelonephritis was aggravated in mice on an HSD by two mechanisms. First, on an HSD, sodium must be excreted; therefore, the kidney used urea instead to build the osmotic gradient. However, in contrast to sodium, urea suppressed the antibacterial functionality of neutrophils, the principal immune effectors against pyelonephritis. Second, the body excretes sodium by lowering mineralocorticoid production via suppressing aldosterone synthase. This caused an accumulation of aldosterone precursors with glucocorticoid functionality, which abolished the diurnal adrenocorticotropic hormone–driven glucocorticoid rhythm and compromised neutrophil development and antibacterial functionality systemically. Consistently, under an HSD, systemic Listeria monocytogenes infection was also aggravated in a glucocorticoid-dependent manner. Glucocorticoids directly induced Nfat5 expression, but pharmacological normalization of renal Nfat5 expression failed to restore the antibacterial defense. Last, healthy humans consuming an HSD for 1 week showed hyperglucocorticoidism and impaired antibacterial neutrophil function. In summary, an HSD suppresses intrarenal neutrophils Nfat5-independently by altering the local microenvironment and systemically by glucocorticoid-mediated immunosuppression. These findings argue against high-salt consumption during bacterial infections.