ABC radio producer Mark Foreman suffered a bleed on the brain and seven concussions while playing amateur football. The son of the late ABC Grandstand commentator Wally Foreman, Mark writes how the renewed spotlight on brain injuries in footy hits close to home.
As more and more retired AFL players come forward with their ongoing concussion issues, it is a stark reminder of my own journey and the daunting road ahead.
Because this isn't an issue reserved for those at the top level.
For me, life completely changed in the blink of an eye.
I was playing the game I love, for my beloved North Beach Football Club, at our home ground in Perth's northern suburbs.
Early in the first quarter, I slid low down to take a mark. A defender, a few metres in front of me, threw a fist up to try and prevent the pass.
He reached just high enough to have the ball skim off his knuckles, which redirected it from landing safely on my chest, to flush in the face.
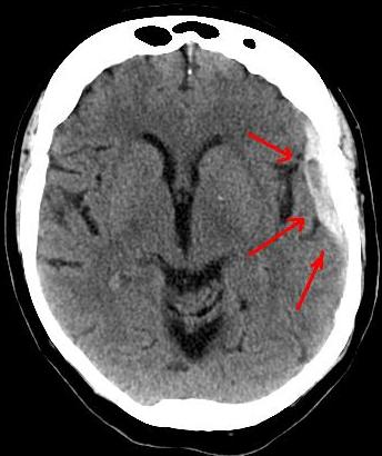
The whiplash was so severe that despite the impact being front on, a bleed on the surface of my brain was discovered at the back of my skull.
I regret what happened next. It still worries me.
I remember being helped off the field, but also thinking, "I've been playing well recently, I need to get back out there".
To the bemusement of the medical staff, I passed the various tests thrown my way.
It wasn't my first concussion. It was my seventh. So I knew what sort of things I needed to do to pass.
Vision like a 'collapsing kaleidoscope'
As I made my way back onto the field towards the end of the quarter I started to lose vision.
It was like a collapsing kaleidoscope, colourless and continually shrinking, until I fell to the ground and knew something was wrong.
I was sent home from hospital twice over the next four days. The doctors couldn't justify the radiation exposure of a CT scan to a young person as they didn't expect to find a problem.
They attributed my symptoms to an extended concussion.
I was a high school teacher at the time and I found myself writing things that didn't make sense, and was struggling to comprehend and engage in conversations.
It wasn't until my family doctor booked a scan for me, 11 days after the incident, that we discovered what was going on.
As I was teaching a class the next day, a message from my mum said: "I know you're in class, but call me immediately, it's an emergency".
Her words reverberate in my head every day: "You have a bleed on the brain".
I didn't know what this meant for me. Was I going to die? What does this mean for my life? What happens next?
Over the course of the next four years, life was turbulent. Symptoms hit me repeatedly, but there was no pattern.
Retired Eagle's story resonated
West Coast Eagles premiership player Daniel Venables had his accident on the field in the same year as I did, 2019.
"I had headaches all the time," he previously told the ABC.
"I don't really sleep well anymore. And I have a few cognitive issues. Sometimes I forget things, as well as fatigue.
"Every time I do something I feel fatigued and need to sleep."
His words resonated with me and, to be honest, it was nice to hear somebody verbalise what I couldn't. It was nice to know I wasn't alone.
In my role as a producer for the ABC's regional Drive program, I am fortunate to meet so many people with invaluable knowledge and expertise.
Recently, Professor Alan Pearce who is a neuroscientist and concussion researcher spoke on our program.
"There is an issue known as Second Impact Syndrome which can be potentially catastrophic," he told presenter Andrew Collins.
"We've got to remember that concussion is a brain injury. It's serious".
My mind went straight to the story of Maggie Varcoe, the sister of former Collingwood and Geelong player Travis.
She had a head clash whilst playing footy but walked off the field before collapsing later, and then passed away a few days after the incident.
'Not a death sentence'
Professor Pearce explained that players need to be aware of all risks associated with their sport.
"One of the things coming through from all these class actions is that players understand the risks to their bodies like broken bones, but they're saying, 'We never signed up for dementia,'" he said.
When I think about it too much I do worry about what the future holds for me and my brain.
Some days I still suffer from fatigue and a feeling I can only describe as "spacey" — a feeling like I'm not fully present.
But I'm grateful I am still here to forge my way in a new career, to enjoy the simple things in life, and to try and make the most of each day.
"At least you're aware of it," Professor Pearce said.
"Take care of your brain by doing regular exercise, cognitive stimulation, and social interaction. It's not a death sentence."
So that is what I'll do. And if anybody reading is in a similar position that is what you should do too.
The stupidity I showed to try and "tough my way through it" is a regret I will always hold. I'll never really know what damage I did.
But I've learnt from that and the most important thing I tell footballers of any age is this — if you've taken a knock, stop.
There are more important things in this wonderful life of ours.
 
         
       
         
       
       
         
       
         
       
       
         
       
       
       
       
    