Get all your news in one place.
100’s of premium titles.
One app.
Start reading
The Guardian - UK
The Guardian - UK
Science
David Levene

Cat brain surgery: the story of an operation – in pictures

Cat operation: Harry, a 12-year-old cat with a a tumour
Harry, a 12-year-old cat with a tumour on his pituitary gland, waits in his cage before going in to pre-op
Photograph: David Levene for the Guardian
Cat operation: 'The QMHA treats up to 8,000 patients every year.'
'The QMHA treats up to 8,000 patients every year.' Harry, having been prepared for surgery, is wheeled to the operating theatre
Photograph: David Levene for the Guardian
Cat operation: 'He could die but the owners decided it was better to attempt it'
'He could die but the owners decided it was better to attempt it.' Harry enters the operating theatre
Photograph: David Levene for the Guardian
Cat operation: 'An operation, costing £3,000
'An operation, costing £3,000, will win the patient a year or two of quality life.' The surgical tools ready for the operation
Photograph: David Levene for the Guardian
Cat operation: 'It's cutting edge.
'It's cutting edge. We're advancing veterinary science.' The team doing Harry's operation
Photograph: David Levene for the Guardian
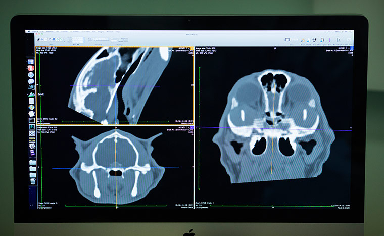
Cat operation: 'Some question whether it's right
'Some question whether it's right for a state-of-the-art institution to be devoted to treating pets.' CT scans of Harry's head
Photograph: David Levene for the Guardian
Cat operation: 'The potential for the patient to become unstable is very high
'The potential for the patient to become unstable is very high.' Patrick Kenny, the neurosurgeon, working to remove the tumour
Photograph: David Levene for the Guardian
Cat operation: 'You are talking about real utility and benefit to an animal.'
'You are talking about real utility and benefit to an animal.' The location of the tumour at the base of the brain means the surgeons opt to carry out the operation through Harry's mouth
Photograph: David Levene for the Guardian
Cat operation: 'It's been a complete success
'It's been a complete success.' Harry after the operation, at home with Tracy
Photograph: David Levene for the Guardian
Sign up to read this article
Read news from 100’s of titles, curated specifically for you.
Already a member? Sign in here
Related Stories
Top stories on inkl right now
One subscription that gives you access to news from hundreds of sites
Already a member? Sign in here
Our Picks
Fourteen days free
Download the app
One app. One membership.
100+ trusted global sources.