Get all your news in one place.
100’s of premium titles.
One app.
Start reading
The Guardian - UK
The Guardian - UK
Business
Julia Kollewe

AstraZeneca reports strong progress with cancer drugs ahead of results

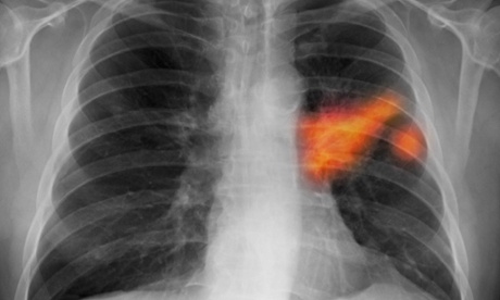
Chest x-ray of a smoker showing lung cancer in the left lung.
Chest x-ray of a smoker showing cancer in the left lung. AstraZeneca’s cancer portfolio formed a key plank of its defence against a £69bn takeover attempt by Pfizer last year. Photograph: Kallista Images/Visuals Unlimi

AstraZeneca has received a double boost after publishing promising data on a key experimental lung cancer pill while a rare eye cancer treatment moved a step closer to regulatory approval in the US.

The Anglo-Swedish drugmaker expects to file AZD9291 for lung cancer for US approval in the coming weeks, and the latest data shows it delayed disease progression by more than a year. It is one of the company’s main new drug hopes, with AstraZeneca estimating that it could sell up to $3bn a year. It wants to bring six new cancer medicines to patients by 2020.

AstraZeneca’s cancer portfolio – which includes drugs that harness the body’s immune system to fight tumours – formed a key plank of its defence against a £69bn takeover attempt by US rival Pfizer last year. Successes are desperately needed as AstraZeneca is rebuilding its pipeline of new drugs following a series of patent losses on bestsellers such as stomach pill Nexium and cholesterol fighter Crestor. Chief executive Pascal Soriot pledged to lift company sales to $45bn by 2023, from $26bn last year – a target seen by many analysts as ambitious.

AZD9291 targets a genetic mutation that helps tumours evade current lung cancer pills. Data presented at the European Lung Cancer Conference in Geneva demonstrated patients on the drug went for 13.5 months without the disease progressing.

Separately, the US Food and Drug Administration, the top health regulator, has granted orphan drug designation for selumetinib, which should smooth its path to full regulatory approval. It would be the first treatment in the world for uveal melanoma, a rare disease in which cancer cells form in the tissues of the eye.

There have been other positive developments in recent days. AstraZeneca’s tremelimumab also won orphan drug status in the US. It treats mesothelioma, a rare, aggressive cancer that most often affects the lining of the lungs and abdomen.

The company’s heart drug Brilinta has shown potential for wider use and its diabetes medicine Onglyza received a boost on Tuesday when a US advisory panel advised against prescribing restrictions.

AstraZeneca will announce first-quarter results next Friday, when it holds its annual meeting. Sales of bestsellers have been eroded by competition from generic drugs, and the company will also take a hit from the strong dollar. It hopes to return to sales growth in 2017.

Analysts at Credit Suisse said: “With many drugs approaching patent expiry, AstraZeneca is the most exposed of the EU pharma majors to pipeline events. There will be a particular focus on [cancer conference] ASCO (29 May to 2 June) where data from all of the immuno-oncology companies will shape investors views on AstraZeneca’s relative position.”

Sign up to read this article
Read news from 100’s of titles, curated specifically for you.
Already a member? Sign in here
Related Stories
Top stories on inkl right now
One subscription that gives you access to news from hundreds of sites
Already a member? Sign in here
Our Picks
Fourteen days free
Download the app
One app. One membership.
100+ trusted global sources.