Get all your news in one place.
100’s of premium titles.
One app.
Start reading
ABC News
ABC News
National

Adrift Lab classifies new disease caused by plastic ingestion by Lord Howe Island seabirds

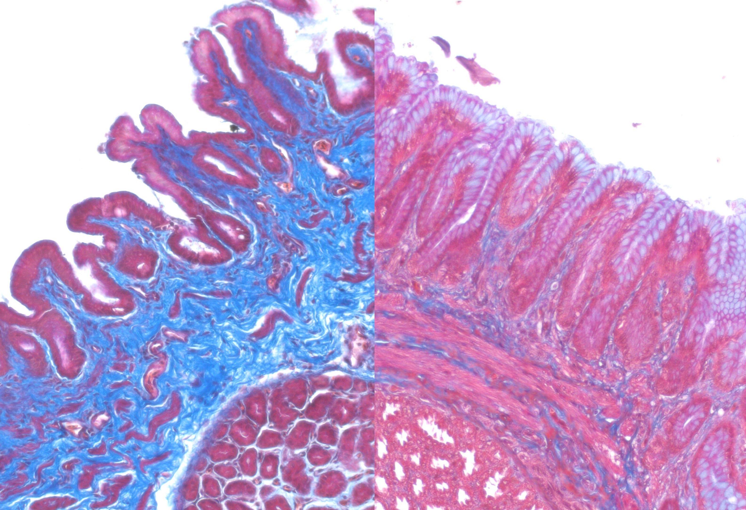
Tissue affected by plasticosis on the left, compared to healthy tissue on the right. (Supplied: Hayley Charlton-Howard)

A previously unknown disease in seabirds caused by the ingestion of plastic has been found on Lord Howe Island by scientists from the United Kingdom and Australia.

Named plasticosis, the newly classified disease is caused by plastic that repeatedly injures soft tissue and leads to the formation of extensive scar tissue in a bird's stomach.

Impacted scar tissue does not operate like healthy tissue and can impact organ structure and function.

The discovery was made by a cross-disciplinary team that included scientists from the UK's Natural History Museum and Australian institutions, which collaborated as part of a global team under the banner of Adrift Lab and classified the disease.

Adrift Lab researcher Hayley Charlton-Howard said it raised concern about plastic ingestion in other species, including humans.

Plastic ingested in oceanic food

Flesh-footed shearwater birds on Lord Howe Island off New South Wales regularly consume plastics, with scientists surmising plastic ingestion starts at hatching.

Ingested plastic from the stomach of a flesh-footed shearwater bird. (Supplied: Silke Stuckenbrock)

The plastics were ingested when collecting mainly oceanic food, such a squid.

"If you can imagine a piece of plastic on the beach, it's quite sharp and brittle," Ms Charlton-Howard said.

"Imagine that plastic continuously digging into the really soft, fragile tissue of the stomach over and over again.

"That's going to cause a lot of injury within the stomach."

Damage to digestive glands could also occur and limit the seabirds' ability to digest and absorb nutrients.

First for study of wild animals

It is the first time a plastic-related illness had been named in wild animals that were feeding on the rubbish in the wild, rather than in laboratory conditions.

It followed a decade of seabird studies, with a sudden increase in scar tissue observed in recent years.

Ms Charlton-Howard said no significant link had been found between fibrosis (tissue thickening and scarring) and the consumption of naturally occurring abrasive debris, such as pumice stone.

"We found evidence of birds eating rocks all the way through history, in fossil evidence," she said.

"If eating pumice was causing the damage we're seeing, it likely wouldn't have evolved as such a robust behaviour across different bird taxa."

The naturally abrasive volcanic rock, pumice, is also consumed by shearwaters without significant impact. (Supplied: Adrift Lab)

Scientists did not know if the condition was fatal as the birds studied were euthanised due to "incredibly poor health".

"We'd love to know if this scar tissue is present in other organs," Ms Charlton-Howard said.

"And basic questions like, if the condition is fatal. We don't know if birds can survive from this."

Implications for other species

Beyond shearwaters, the study could have implications for other species ingesting plastics.

A global study commissioned by the World Wide Fund for Nature in 2019 found on average that humans consumed as much as five grams of plastic a week.

Ms Charlton-Howard said microplastics had also been found in human breast milk and human placentas.

"We have very little idea of what these plastic fragments are doing to human health," she said.

"In terms of plasticosis, these birds are ingesting high quantities of large plastic pieces, in comparison to humans where a lot of the plastic [humans] are ingesting is tiny, microscopic fragments.

"We may not see the overall condition of plasticosis in humans, but we may see really localised cases of injury and inflammation and scar tissue formation within our tissues."

Ms Charlton-Howard reiterated it was a new field of research where further research was required, but the classification of plasticosis was an important step towards quantifying how plastic was affecting health.

"Plastics have really unique pathological properties that natural items, even if they are similarly abrasive, just don't seem to have," Ms Charlton-Howard said.

"There are over a thousand marine species known to ingest plastic.

"Here at the Adrift Lab we want to push for further research, awareness and action on the plastic pollution crisis."

 Adrift Lab researcher Hayley Charlton-Howard is part of the team responsible for classifying plasticosis. (ABC News: Loretta Lohberger)
Sign up to read this article
Read news from 100’s of titles, curated specifically for you.
Already a member? Sign in here
Related Stories
Top stories on inkl right now
One subscription that gives you access to news from hundreds of sites
Already a member? Sign in here
Our Picks
Fourteen days free
Download the app
One app. One membership.
100+ trusted global sources.