
Crystal methamphetamine is the most widely used synthetic drug in the world, according to the United Nations Office on Drugs and Crime. It’s an extremely addictive stimulant that dramatically affects the central nervous system.
The drug is widely used in South Africa, with particular hotspots in the Western Cape province where it is referred to as “tik” due to the “ticking” sound it produces when smoked. Cape Town appears to be the tik capital of South Africa; about 98% of methamphetamine patients seen across the country come from this city. Tik is used as a recreational stimulant and can be swallowed, snorted, injected or smoked. In its smoked form it is often referred to as ice, crystal, crank and glass. Smoking is the most dangerous way of consuming the drug, as it provides quicker access to the brain and bloodstream.
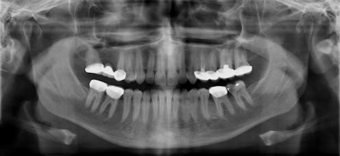
People who use the drug experience feelings of wakefulness, energy, a sense of well-being, and euphoria. But crystal methamphetamine abuse has devastating effects: it can cause lung disorders, kidney damage, hyperthermia, stroke and cardiac arrest. But, one of the least researched areas is the extensive tooth decay and gum disease that it causes.
A team at the Tygerberg Oral Health Centre at the University of the Western Cape’s faculty of dentistry traced how tik affects users’ teeth and gums. Tik causes serious mouth and teeth problems commonly known as “meth mouth” – that presents as extensive tooth decay and gum disease. Once the damage begins, it is virtually impossible to stop and in many cases leads to multiple tooth extractions. Based on our findings we recommend early diagnosis to prevent the rapid and extensive deterioration.
Education is also key – not only within communities and for the users, but also the education of other health care workers (nurses, social workers and medical practitioners) so they can recognise the oral and dental signs of methamphetamine use.
The effects
My colleagues and I at the Tygerberg Oral Health Centre noticed an increase in the number of young adult patients presenting with multiple badly decayed teeth. We saw an unusual pattern of tooth decay. These patients presented with cavities on the smooth surfaces of the teeth, leading eventually to total destruction of the tooth.
One of the side effects of tik is hyposalivation (causing a dry mouth). This lack of saliva has serious consequences. The ducts of the salivary glands produce saliva that is the primary defence in fighting bad bacteria in the mouth, buffering acids and protecting the teeth. The enzymes in saliva keep the mouth moist and in a state of homeostasis; that is, a pH balance with just the right amount of acid in the mouth.
In mechanisms still being studied and debated, the use of tik affects the actions of the salivary glands and inhibits the secretion of saliva, causing a dry mouth. One theory is that the drug causes a narrowing of the blood vessels in salivary glands, decreasing the flow of saliva. Others argue that the use of the drug affects those parts of the brain that control the salivary glands.
But the consequences of a dry mouth go even further. To counteract the very dry mouth, tik users consume vast amounts of sugary, fizzy drinks. With no or very little protective saliva in the mouth, this creates the perfect acidic conditions for rapid wear and tooth decay by weakening the teeth’s surface enamel.
To exacerbate matters, tik users often grind their teeth because of drug-induced hyperactivity, anxiety and nervousness. This causes accelerated tooth wear. Furthermore, they lose interest in basic personal and dental hygiene. A tik “high” can last for days; users don’t bother brushing their teeth for extended periods causing plaque to accumulate and the bacteria to continue metabolising sugars into acids. The acidic environment often leads to erosion and when mouth pH drops below critical levels, tooth decay is the result.
What we found
The research team recruited a sample of over 300 Cape Town patients between the ages of 21 and 29 years, making their study one of the largest of its kind. The study confirmed the harmful effects of tik use on oral health, as well as highlighted the impediments to treatment. Methamphetamine users are not easy patients to treat as they are often paranoid and unpredictable.
Users usually seek dental care for pain. But by that stage, most of the teeth are already badly decayed and need extraction or several sessions to repair. But, once the pain is gone, most patients don’t attend repeat appointments.
Dental disease is a distinct comorbidity in tik users and requires the development of comprehensive treatment plans that address both its abuse and the oral and dental health problems.
Dentists should be trained to identify users presenting in their clinics, as should other health care workers (nurses, doctors, community health workers) and addiction specialists who need to be aware of oral health problems among tik users. Combating the public health problem and social nightmare of tik abuse requires buy-in from government, industry and society. And perhaps seeing images of a “meth mouth” might go some way in putting anyone off drug use for life.
Sudeshni Naidoo does not work for, consult, own shares in or receive funding from any company or organisation that would benefit from this article, and has disclosed no relevant affiliations beyond their academic appointment.
This article was originally published on The Conversation. Read the original article.