
A man in France shocked doctors after showing up to hospital with relatively ordinary symptoms (a weakness in his leg), however, after conducting several tests doctors would discover this man was anything but normal. It would turn out this man’s head was mostly empty as 90% of his brain was missing. This begged the question, how was this man able to function and lead a normal life?
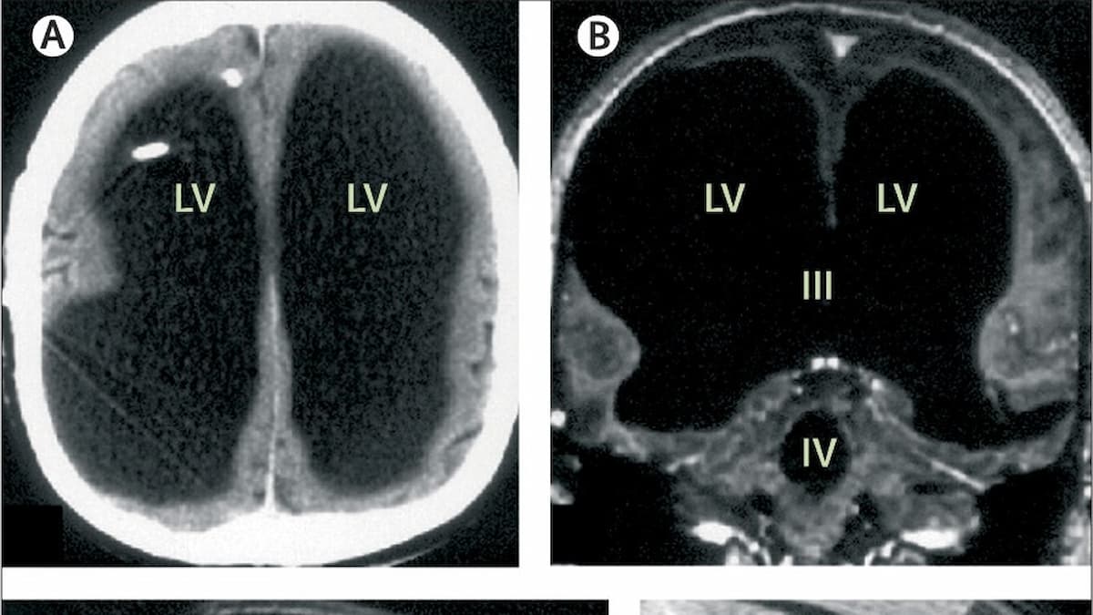
The puzzling medical case was first published in The Lancet medical journal in 2007 but it still baffles people to this day. The man had been experiencing a weakness in one of his legs which is what prompted him to speak to doctors in the first place. According to CBC.ca, while testing the man, doctors discovered that instead of having a brain inside his skull, the 44-year-old man’s head was full of liquid with just a thin layer of brain tissue in his skull. The condition is known as hydrocephalus.
No brain? No problem
Despite having practically no brain, amazingly, he was still able to function relatively normally even holding down a job as a civil servant. The man scored 84 on an IQ test meaning that his intelligence was a little below the average but considering the circumstances it’s amazing his IQ is that high at all!
“He was living a normal life. He has a family. He works. His IQ was tested at the time of his complaint.” Explains cognitive psychologist, Axel Cleermans, “This came out to be 84, which is slightly below the normal range … So, this person is not bright — but perfectly, socially apt.”
The things the brain and body are capable of never cease to amaze. However, this case raises many questions as to how something like this should even be possible. How could he still operate and think like most people when the size of his brain was significantly diminished? Well it seems the man’s neurons were able to develop normally despite the small size of his brain.
Hydrocephalus affects 1 in 1,000 people according to an article from nature.com, it is usually treated with shunts that drain the fluid. In most cases those affected can live normal lives although there can be neurological issues. The French man’s case is an extreme example of the condition and yet it didn’t adversely affect his neurological development.
Years after it was first reported on, this medical conundrum is still amazing. The idea that someone can think and function with most of their brain missing is astounding. It raises questions over where consciousness even comes from and whether we truly understand the brain in the way we think we do.