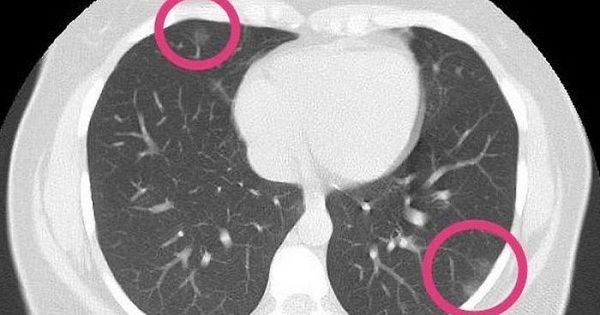
Scan finds coronavirus in lungs of healthy woman, 30, with no symptoms
Scan finds coronavirus in lungs of healthy woman, 30, with no symptoms
The worried woman went to a hospital and asked to be tested for coronavirus after a relative died of Covid-19, and two days later she was being treated in hospital for the killer bug
Daily Mirror
Daily Mirror
'Life-saving' ventilators are destroying coronavirus patients' lungs, doctor says
'Life-saving' ventilators are destroying coronavirus patients' lungs, doctor says
Dr Cameron Kyle-Sidell, who was treating critically ill coronavirus patients at Maimonides Medical Center in New York, says "Covid-19 is not a pneumonia and should not be treated as one"
Daily Mirror
Daily Mirror
Coronavirus: Nurse left fighting bug despite three negative test results
Coronavirus: Nurse left fighting bug despite three negative test results
Nicole Williams, from Caerphilly, south Wales, has raised concerns over the effectiveness of Covid-19 swabs after hers returned negative three times and the illness was only discovered via CT scan
Daily Mirror
Daily Mirror